-
Slide 6-1
Feb 25 2019 by Lancaster Course in Ophthalmology
Microphthalmos with cyst. Left side shows the macroscopic appearance and right side the microscopic appearance, of a microphthalmic eye with continuou cyst. The eye has multiple anomalies such as hypoplasia of the iris, cataract, nonattachment of the retina, and retinal dysplasia (right, H&E x 1).
Condition/keywords: cataract, cyst, dysplasia, hypoplasia, microphthalmos
-
Slide 6-2
Feb 25 2019 by Lancaster Course in Ophthalmology
Ectopic brain tissue. White matter (pale areas) is separated by fibrous septa so as to resemble, superficially, the optic nerve (H&E x21).
Condition/keywords: ectopic brain tissue, septa
-
Slide 6-3
Feb 25 2019 by Lancaster Course in Ophthalmology
Ethmoiditis OD has caused redness and swelling of the right orbit nasally with spread into the .
Condition/keywords: ethmoiditis OD, eye lid
-
Slide 6-4
Feb 25 2019 by Lancaster Course in Ophthalmology
Phycomycoses. Basophilic fungi are seen in the walls of both thrombosed orbital blood vessels (H&E x54).
Condition/keywords: basophilic, phycomycosis, thrombosed hemorrhoid
-
Slide 6-5
Feb 25 2019 by Lancaster Course in Ophthalmology
Benign lymphoepithelial lesion of Godwin. Chronic nongranulomatous inflammation of the lacrimal gland are seen, as well as epimyoepithelial islands and thickened basement membrane strands (H&E x220).
Condition/keywords: chronic nongranulomatous inflammation, epimyoepithelial islands, Godwin, lacrimal gland
-
Slide 6-6
Feb 25 2019 by Lancaster Course in Ophthalmology
Foreign body giant cell inflammatory reactions around debris (H&E x25).
Condition/keywords: giant cell, inflammatory
-
Slide 6-7
Feb 25 2019 by Lancaster Course in Ophthalmology
Birefringence of foreign bodies to polarized light.
Condition/keywords: birefringence, foreign bodies
-
Slide 6-8
Feb 25 2019 by Lancaster Course in Ophthalmology
Graves' disease.
Condition/keywords: Graves' disease
-
Slide 6-9
Feb 25 2019 by Lancaster Course in Ophthalmology
Graves' disease.
Condition/keywords: Graves' disease
-
Slide 6-10
Feb 25 2019 by Lancaster Course in Ophthalmology
Graves' disease.
Condition/keywords: Graves' disease
-
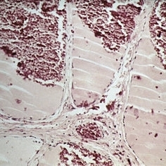
Slide 6-11
Feb 25 2019 by Lancaster Course in Ophthalmology
Trichinosis. Trichinello spiralis encysted in striated muscles (H&E x40).
Condition/keywords: trichinella spiralis, worm
-
Slide 6-12
Feb 25 2019 by Lancaster Course in Ophthalmology
Trichinello spiralis under high magnification (H&E x250).
Condition/keywords: trichinella spiralis
-
Slide 6-13
Feb 25 2019 by Lancaster Course in Ophthalmology
Dermoid is present in the upper outer area of the orbit.
Condition/keywords: dermoid
-
Slide 6-14
Feb 25 2019 by Lancaster Course in Ophthalmology
Dermoid cyst. The wall is lined by stratified squamous epithelium and contains epidermal appendages. The lumen, at top, contains keratin debris toward the left side (H&E x54).
Condition/keywords: cyst, lumen, stratified squamous epithelium
-
Slide 6-15
Feb 25 2019 by Lancaster Course in Ophthalmology
Teratoma. Back of eye (top) with tumor behind containing epidermal (ruptured epidermoid cyst) and intestinal tissue (H&E X211!).
Condition/keywords: cyst, intestinal tissue, teratoma, tumor
-
Slide 6-16
Feb 25 2019 by Lancaster Course in Ophthalmology
Teratoma under higher magnification shows pancreatic tissue in the wall of the intestine (H&E x20).
Condition/keywords: pancreatic tissue, teratoma
-
Slide 6-17
Feb 25 2019 by Lancaster Course in Ophthalmology
Ectopic lacrimal gland. Rather normal-appearing glandular tissue shows focus of inflammation on left side (H&E x lOl).
Condition/keywords: glandular tissue, lacrimal gland
-
Slide 6-19
Feb 25 2019 by Lancaster Course in Ophthalmology
Lymphangioma at higher magnification (H&E x54).
Condition/keywords: lymphangioma
-
Slide 6-20
Feb 25 2019 by Lancaster Course in Ophthalmology
Cavernous hemangioma. Clinical appearance.
Condition/keywords: cavernous hemangioma of the retina
-
Slide 6-21
Feb 25 2019 by Lancaster Course in Ophthalmology
Cavernous hemangioma. Microscopic appearance. Tumor shows large, blood-filled spaces separated by endothelium-lined fibrous septa (H&E x lOl).
Condition/keywords: cavernous hemangioma of the retina, endothelium, tumor
-
Slide 6-22
Feb 25 2019 by Lancaster Course in Ophthalmology
Hemangioendothelioma composed mostly of endothelial cells with occasional capillaries (H&E x lOl).
Condition/keywords: endothelial, hemangioendothelioma
-
Slide 6-23
Feb 25 2019 by Lancaster Course in Ophthalmology
Capillary hemangioma. Clinical appearance.
Condition/keywords: retinal capillary hemangioma
-
Slide 6-24
Feb 25 2019 by Lancaster Course in Ophthalmology
Capillary hemangioma. Microscopic appearance showing many capillaries (H&E xlOl).
Condition/keywords: retinal capillary hemangioma
-
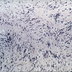
Slide 6-26
Feb 25 2019 by Lancaster Course in Ophthalmology
Fibrosarcoma. Low magnification of the original orbital specimen shows spindle cells in "herringbone" pattern. (H&E x80).
Condition/keywords: fibrosarcoma, spindle cells
-
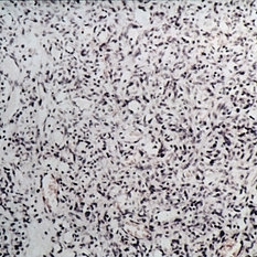
Slide 6-29
Feb 25 2019 by Lancaster Course in Ophthalmology
Fibrosarcoma. Recurrence at higher magnification (H&E x300).
Condition/keywords: fibrosarcoma
-
Slide 6-39
Feb 25 2019 by Lancaster Course in Ophthalmology
Differentiated rhabdomyosarcoma. Most cells have a ribbon of eosinophilic cytoplasm (H&E xlOl).
Condition/keywords: eosinophilic, rhabdomyosarcoma
-
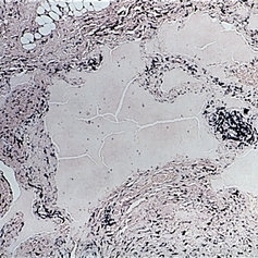
Slide 6-25
Mar 20 2019 by Lancaster Course in Ophthalmology
Lipoma composed of mature fat cells surrounded by a thin capsule and separated into lobules by septa (H&E xl6).
Condition/keywords: lipoma, lobules, septa
-
Slide 6-27
Mar 20 2019 by Lancaster Course in Ophthalmology
Fibrosarcoma at higher magnification (H&E x300).
Condition/keywords: fibrosarcoma
-
Slide 6-28
Mar 20 2019 by Lancaster Course in Ophthalmology
Fibrosarcoma. Recurrence 3 years later is highly cellular and contains many mitotic figures (H&E x80).
Condition/keywords: fibrosarcoma
-
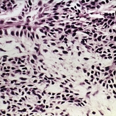
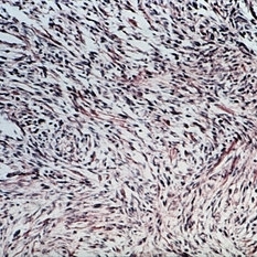
Slide 6-30
Mar 20 2019 by Lancaster Course in Ophthalmology
Fibrous histiocytoma. Low magnification shows typical storlform pattern of spindle cells (H&E x54).
Condition/keywords: fibrous histiocytoma, spindle cells
-
Slide 6-31
Mar 20 2019 by Lancaster Course in Ophthalmology
Fibrous histiocytoma. Higher magnification demonstrates spindle cells in the center and right, and histiocytic cells on the left (H&E xlOl).
Condition/keywords: fibrous histiocytoma, histiocytic cells, spindle cells
-
Slide 6-32
Mar 20 2019 by Lancaster Course in Ophthalmology
Rhabdomyosarcoma. Embryonal rhabdomyosarcoma in this subcon junctival location is identical to sarcoma botryoids of the genitourinary tract (H&E x3'12).
Condition/keywords: rhabdomyosarcoma
-
Slide 6-33
Mar 20 2019 by Lancaster Course in Ophthalmology
Alveolar rhabdomyosarcoma stained with periodic acid-Schiff (PAS) shows red background color of glycogen (PAS x69).
Condition/keywords: rhabdomyosarcoma
-
Slide 6-34
Mar 20 2019 by Lancaster Course in Ophthalmology
Alveolar rhabdomyosarcoma section digested with diatase before PAS staining causes red background color to disappear (diastase-PAS x69).
Condition/keywords: rhabdomyosarcoma
-
Slide 6-35
Mar 20 2019 by Lancaster Course in Ophthalmology
Embryonal rhabdomyosarcoma. Primitive appearance with dark, cellular areas separated by relatively acellular, mucinous areas (H&E xlOl).
Condition/keywords: rhabdomyosarcoma
-
Slide 6-36
Mar 20 2019 by Lancaster Course in Ophthalmology
Embryonal rhabdomyosarcoma. Some cells have a ribbon of eosinophilic cytoplasm which, when viewed under high magnification, shows typical cross striations (trichrome stain x1103).
Condition/keywords: cytoplasm, rhabdomyosarcoma
-
Slide 6-37
Mar 20 2019 by Lancaster Course in Ophthalmology
Embryonal rhabdomyosarcoma. Clinical appearance.
Condition/keywords: rhabdomyosarcoma
-
Slide 6-38
Mar 20 2019 by Lancaster Course in Ophthalmology
Embryonal rhabdomyosarcoma. At low magnification, the tumor's embryonal character is apparent, with alternating dark, cellular areas and light, mucinous spaces (H&E xl6).
Condition/keywords: rhabdomyosarcoma
-
Slide 6-40
Mar 20 2019 by Lancaster Course in Ophthalmology
Differentiated rhabdomyosarcoma. Cross-striations are relatively easy to find (trichrome stain x630).
Condition/keywords: rhabdomyosarcoma
-
Slide 6-41
Mar 20 2019 by Lancaster Course in Ophthalmology
Alveolar rhabdomyosarcoma. Clinical appearance.
Condition/keywords: rhabdomyosarcoma
-
Slide 6-42
Mar 20 2019 by Lancaster Course in Ophthalmology
Alveolar rhabdomyosarcoma. Microscopic appearance. Septa separate aggregates of cells so as to form an alveolar pattern. The cytoplasm of the rhabdomyoblasts helps to make up part of the wall of the septa (reticulum x40).
Condition/keywords: rhabdomyosarcoma
-
Slide 6-43
Mar 20 2019 by Lancaster Course in Ophthalmology
Alveolar rhabdomyosarcoma. Appearance at higher magnification (H&E xlOl).
Condition/keywords: rhabdomyosarcoma
-
Slide 6-44
Mar 20 2019 by Lancaster Course in Ophthalmology
Neurilemmoma has a characteristic orange color, due to high lipid content, when viewed in macroscopic transverse section.
Condition/keywords: neurilemmoma
-
Slide 6-45
Mar 20 2019 by Lancaster Course in Ophthalmology
Neurilemmoma. Antoni A pattern is composed of palisading, tightly compact spindle cells alternating with relatively acellular areas called Verocay bodies (H&E x40).
Condition/keywords: neurilemmoma, spindle cells
-
Slide 6-46
Mar 20 2019 by Lancaster Course in Ophthalmology
Neurilemmoma. Antoni A pattern under higher magnification (H&E xlOl).
Condition/keywords: neurilemmoma
-
Slide 6-47
Mar 20 2019 by Lancaster Course in Ophthalmology
Neurilemmoma. Antoni B pattern is composed of degenerated microcystoid areas of tumor (H&E xlOl).
Condition/keywords: neurilemmoma
-
Slide 6-48
Mar 20 2019 by Lancaster Course in Ophthalmology
Benign mixed tumor. Biphasic appearance is due to alternating, relatively acellular myxomatous spaces and cellular areas (H&E x40).
Condition/keywords: tumor
-
Slide 6-49
Mar 20 2019 by Lancaster Course in Ophthalmology
Benign mixed tumor. Cellular areas are composed of tubular epithelium, here showing some squamous metaplasia (H&E x252).
Condition/keywords: metaplasia, tubular epithelium, tumor
-
Slide 6-50
Mar 20 2019 by Lancaster Course in Ophthalmology
Malignant mixed tumor. Some areas resemble benign mixed tumors, while other areas are obviously adenocarcinoma (H&E xlOl).
Condition/keywords: tumor
-
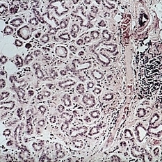
Slide 6-51
Mar 20 2019 by Lancaster Course in Ophthalmology
Adenoid cystic carcinoma. A lacrimal gland is seen in the lower right corner. Nests of tumor cells show punched-out areas, giving a "Swiss cheese" appearance (H&E xl6).
Condition/keywords: lacrimal gland
-
Slide 6-52
Mar 20 2019 by Lancaster Course in Ophthalmology
Adenoid cystic carcinoma. Stroma between nests of neoplastic cells shows mild inflammatory reaction but is otherwise relatively acellular. No peripheral palisading is present, differentiating this tumor from similar-appearing basal cell carcinoma (H&E x40).
Condition/keywords: neoplastic cells, stroma
-
Slide 6-53
Mar 20 2019 by Lancaster Course in Ophthalmology
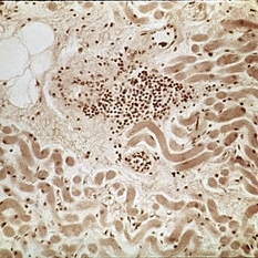
Inflammatory pseudotumor showing polymorphism and ancillary evidence of inflammation. Note presence of lymphocytes, plasma cells, and "juicy" capillaries (H&E x252).
Condition/keywords: lymphocytes, polymorphism, pseudotumor
-
Slide 6-55
Mar 20 2019 by Lancaster Course in Ophthalmology
Burkitt's lymphoma. Undifferentiated, diffuse lymphosarcoma shows scattered macrophages engulfing nuclear debris, giving a "starry-sky" appearance to the tumor (H&E x252).
Condition/keywords: Burkitt's lymphoma, lymphosarcoma
-
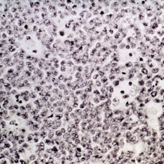
Slide 6-56
Mar 20 2019 by Lancaster Course in Ophthalmology
Granulocytic leukemia. Infiltration of orbital tissue by immature granulocytes (H&E x640).
Condition/keywords: leukemia
-
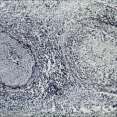
Slide 6-57
Mar 20 2019 by Lancaster Course in Ophthalmology
Benign reactive lymphoid hyperplasia, showing monotonous infiltrate of mature lymphocytes with occasional mitotic figure (H&E x252).
Condition/keywords: hyperplasia, lymphocytes
-
Slide 6-58
Mar 20 2019 by Lancaster Course in Ophthalmology
Eosinophilic granuloma. Infiltration of orbital bone by eosinophils and large histiocytes (H&E x400).
Condition/keywords: eosinophilic, eosinophils, histiocytes
-
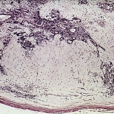
Slide 6-59
Mar 20 2019 by Lancaster Course in Ophthalmology
Hand-Schiiller-Christian disease. Dark pink areas represent the remaining sphenoid bone, which is almost completely replaced by atypical histiocytes (H&E x28). (Hogan, M. J., and Zimmerman, L. E. (eds.): Ophthalmic Pathology. W. B. Saunders, Philadelphia, 1968, p. 778.)
Condition/keywords: Hand-Schiiller-Christian disease, histiocytes, sphenoid bone
-
Slide 6-60
Mar 20 2019 by Lancaster Course in Ophthalmology
Retinoblastoma has extended out of the right eye into the orbit, causing proptosis and exposure keratitis of the eye.
Condition/keywords: keratitis, proptosis, retinoblastoma
