-
By Lancaster Course in Ophthalmology
1980 - Uploaded on Feb 25, 2019.
- Last modified by Caroline Bozell on Feb 28, 2019.
- Rating
- Appears in
- Unit 06 The Orbit
- Condition/keywords
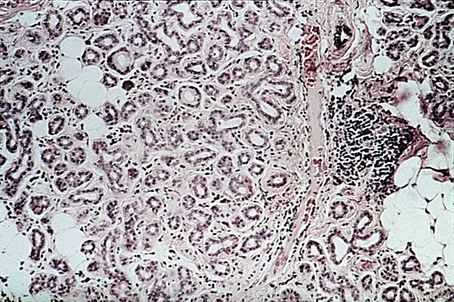
- lacrimal gland, glandular tissue
- Description
- Ectopic lacrimal gland. Rather normal-appearing glandular tissue shows focus of inflammation on left side (H&E x lOl).

Initializing download.