-
By Lancaster Course in Ophthalmology
1980 - Uploaded on Mar 20, 2019.
- Last modified by Caroline Bozell on Mar 22, 2019.
- Rating
- Appears in
- Unit 06 The Orbit
- Condition/keywords
- rhabdomyosarcoma
- Description
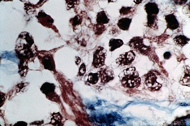
- Differentiated rhabdomyosarcoma. Cross-striations are relatively easy to find (trichrome stain x630).

Initializing download.