-
By Lancaster Course in Ophthalmology
1980 - Uploaded on Feb 25, 2019.
- Last modified by Caroline Bozell on Mar 7, 2019.
- Rating
- Appears in
- Unit 06 The Orbit
- Condition/keywords
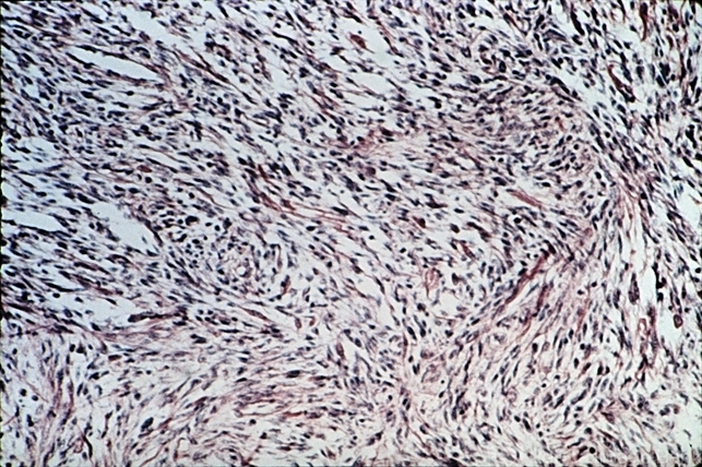
- rhabdomyosarcoma, eosinophilic
- Description
- Differentiated rhabdomyosarcoma. Most cells have a ribbon of eosinophilic cytoplasm (H&E xlOl).

Initializing download.