-
By Lancaster Course in Ophthalmology
1980 - Uploaded on Mar 20, 2019.
- Last modified by Caroline Bozell on Mar 22, 2019.
- Rating
- Appears in
- Unit 06 The Orbit
- Condition/keywords
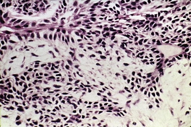
- tumor, tubular epithelium, metaplasia
- Description
- Benign mixed tumor. Cellular areas are composed of tubular epithelium, here showing some squamous metaplasia (H&E x252).

Initializing download.