-
By Lancaster Course in Ophthalmology
1980 - Uploaded on Mar 20, 2019.
- Last modified by Caroline Bozell on Mar 22, 2019.
- Rating
- Appears in
- Unit 06 The Orbit
- Condition/keywords
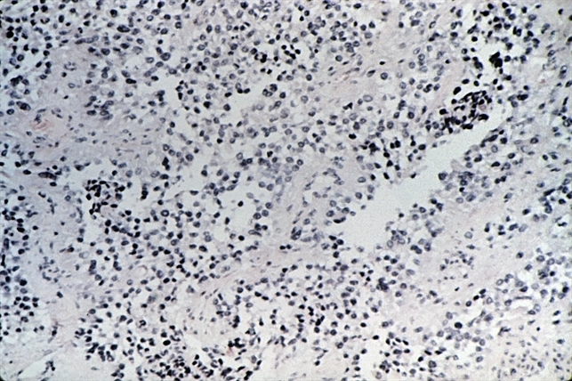
- rhabdomyosarcoma
- Description
- Alveolar rhabdomyosarcoma. Appearance at higher magnification (H&E xlOl).

Initializing download.