-
By Lancaster Course in Ophthalmology
1980 - Uploaded on Mar 20, 2019.
- Last modified by Caroline Bozell on Mar 22, 2019.
- Rating
- Appears in
- Unit 06 The Orbit
- Condition/keywords
- tumor
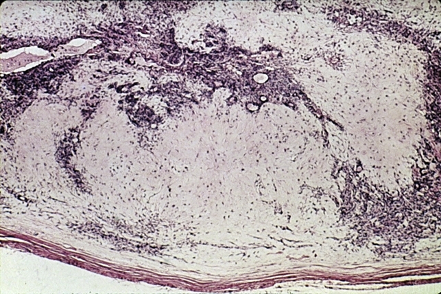
- Description
- Benign mixed tumor. Biphasic appearance is due to alternating, relatively acellular myxomatous spaces and cellular areas (H&E x40).

Initializing download.