-
By Lancaster Course in Ophthalmology
1980 - Uploaded on Feb 25, 2019.
- Last modified by Caroline Bozell on Feb 28, 2019.
- Rating
- Appears in
- Unit 06 The Orbit
- Condition/keywords
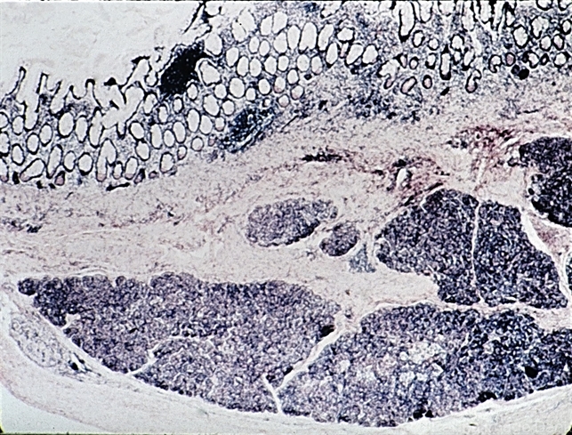
- teratoma, pancreatic tissue
- Description
- Teratoma under higher magnification shows pancreatic tissue in the wall of the intestine (H&E x20).

Initializing download.