-
By Lancaster Course in Ophthalmology
1980 - Uploaded on Mar 20, 2019.
- Last modified by Caroline Bozell on Mar 22, 2019.
- Rating
- Appears in
- Unit 06 The Orbit
- Condition/keywords
- rhabdomyosarcoma
- Description
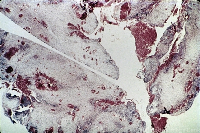
- Embryonal rhabdomyosarcoma. At low magnification, the tumor's embryonal character is apparent, with alternating dark, cellular areas and light, mucinous spaces (H&E xl6).

Initializing download.