-
Age-Related Macular Degeneration
Sep 10 2014 by Mehul A Shah
65-year-old female presented with sudden loss of vision.
Photographer: Drashti Netralaya, Dahod
Imaging device: FF 450
Condition/keywords: age-related macular degeneration (AMD)
-
Myopic Degeneration, Macular Hemorrhage
Sep 10 2014 by Mehul A Shah
A 50-year-old male patient presented with complaint of sudden loss of vision.
Photographer: Drashti Netralaya,Dahod
Imaging device: FF 450
Condition/keywords: myopic degeneration
-
Myopic Degeneration
Sep 10 2014 by Mehul A Shah
Chorio retinal atrophy.
Photographer: Drashti Netralaya
Imaging device: Zeiss FF450
Condition/keywords: myopia
-
Proliferative Diabetic Retinopathy
Sep 10 2014 by Mehul A Shah
55-year-male with sudden loss of vision.
Photographer: Drashti Netralaya,Dahod
Imaging device: Zeiss FF450
Condition/keywords: proliferative diabetic retinopathy (PDR)
-
Proliferative Diabetic retinopathy
Sep 10 2014 by Mehul A Shah
65-year-old male presented with sudden loss of vision.
Photographer: Drashti Netralaya,Dahod
Imaging device: Zeiss FF4
Condition/keywords: proliferative diabetic retinopathy (PDR)
-
Traumatic Retinal Tear
Sep 10 2014 by Mehul A Shah
A myopic male patient 30-years-old presented to outdoor and found to have retinal detachment with giant tear following blunt trauma
Photographer: Drashti Netralaya,Dahod
Imaging device: FF 450
Condition/keywords: giant retinal tear
-
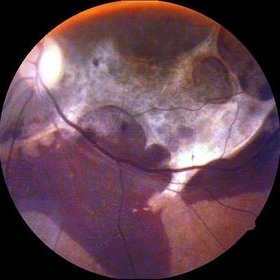
Choroidal Detachment
Sep 10 2014 by Mehul A Shah
A male patient 5-years-old presented to outdoor and found to have retinal detachment with choroidal detachment following blunt trauma
Photographer: Drashti Netralaya,Dahod
Imaging device: FF 450
Condition/keywords: choroidal detachment
-
Rerinal Detachment with PVR
Sep 10 2014 by Mehul A Shah
A myopic male patient 35-years-old presented to outdoor and found to have retinal detachment with multiple fixed folds.
Photographer: Drashti Netralaya,Dahod
Imaging device: FF 450
Condition/keywords: proliferative vitreoretinopathy (PVR)
-
Retinoschicis
Sep 10 2014 by Mehul A Shah
Retinoschisis detected on routiene examination.
Photographer: Drashti Netralaya,Dahod
Imaging device: FF 450
Condition/keywords: bullous retinoschisis
-
Recurrent RD with PVR
Sep 10 2014 by Mehul A Shah
A 30 years old myopic patient present with recurrent RD with PVR.
Photographer: Drashti Netralaya,Dahod
Imaging device: FF 450
Condition/keywords: proliferative vitreoretinopathy (PVR)
-
Retinal Tear
Sep 10 2014 by Mehul A Shah
A myopic male patient 23 years old presented to outdoor and found to have retinal detachment with horse shoe tear.
Photographer: Drashti Netralaya,Dahod
Imaging device: FF 450
-
Bone Corpuscle Pigments
Sep 11 2014 by Mehul A Shah
A 42-year-old female presented with gradual reduction in vision.
Photographer: Drashti Netralaya,Dahod
Imaging device: FF 450
Condition/keywords: retinitis pigmentosa (RP) dystrophy
-
Macular Dystrophy
Sep 11 2014 by Mehul A Shah
A 45-year-old female presented with gradual reduction in vision.
Photographer: Drashti Netralaya,Dahod
Imaging device: FF 450
Condition/keywords: bull's eye maculopathy
-
Retinitis Pigmentosa With Macular Involvment
Sep 11 2014 by Mehul A Shah
A 35-year-old female presented with gradual reduction in vision.
Photographer: Drashti Netralaya,Dahod
Imaging device: FF 450
Condition/keywords: retinitis pigmentosa (RP) dystrophy
-
Berlins Edema
Sep 12 2014 by Mehul A Shah
A 25-year-old male patient presented with blunt trauma.
Photographer: Drashti Netralaya,Dahod
Imaging device: Zeiss FF4
Condition/keywords: Berlin's edema
-
Choroidal Rupture
Sep 12 2014 by Mehul A Shah
A 24-year-old boy presented with history of cricket ball injury.
Photographer: Drashti Netralaya,Dahod
Imaging device: Zeiss ff450
Condition/keywords: choroidal rupture
-
Traumatic Macular Hole
Sep 14 2014 by Mehul A Shah
15-year-old boy presented with cricket ball injury.
Photographer: Drashti Netralaya,Dahod
Imaging device: Zeiss ff450
Condition/keywords: traumatic macular hole
-
Traumatic Macular Hole
Sep 14 2014 by Mehul A Shah
17-year-old presented with blunt trauma.
Photographer: Drashti Netralaya,Dahod
Imaging device: Zeiss ff450
Condition/keywords: traumatic macular hole
-
Traumatic Macular Hole
Sep 14 2014 by Mehul A Shah
20-year-old presented with cricket ball injury.
Photographer: Drashti Netralaya,Dahod
Imaging device: Zeiss ff450
Condition/keywords: traumatic macular hole
-
3D Image Of Intraocular Foreign Body
Sep 14 2014 by Mehul A Shah
14-year-old girl presented with penetrating injury to LE.
Photographer: Drashti Netralaya,Dahod
Imaging device: CT scan
Condition/keywords: intraocular foreign body
-
Intraocular Foreign Body
Sep 14 2014 by Mehul A Shah
A 28-year-old male presented loss of vision following injury during work.
Photographer: Drashti Netralaya,Dahod
Imaging device: Zeiss ff450
Condition/keywords: intraocular foreign body
-
Intra-Lenticular Foreign Body
Sep 14 2014 by Mehul A Shah
A 23-year-old male presented loss of vision following injury during work.
Photographer: Drashti Netralaya,Dahod
Imaging device: Zeiss ff450
Condition/keywords: intraocular foreign body
-
Optic Nerve Head Avulsion
Sep 15 2014 by Mehul A Shah
A 30-year-old male presented with loss of vision following blunt trauma.
Photographer: Drashti Netralaya,Dahod
Imaging device: Zeiss ff450
Condition/keywords: optic nerve head avulsion
-
Optic Nerve Head Avulsion
Sep 15 2014 by Mehul A Shah
A 30-year-old male patient met vehicular accident and found to have optic nerve head avulsion with scarring.
Photographer: Drashti Netralaya,Dahod
Imaging device: Zeiss ff450
Condition/keywords: optic nerve head avulsion
-
Macular Scarring Following Blunt Trauma
Sep 15 2014 by Mehul A Shah
A 24-year-old patient had blunt trauma having macular scar.
Photographer: Drashti Netralaya,Dahod
Imaging device: Zeiss ff450
Condition/keywords: fibrous macular scar
-
Subretinal Hemorrhage
Sep 15 2014 by Mehul A Shah
A 29-year-old female presented with loss of vision following blunt trauma.
Photographer: Drashti Netralaya,Dahod
Imaging device: Zeiss ff450
Condition/keywords: subretinal hemorrhage
-
Macular Dystrophy
Sep 20 2014 by Mehul A Shah
A 30-year-old male presented with complaint of loss of vision, on examination he was found to have this picture.
Photographer: Drashti Netralaya,Dahod
Imaging device: Zeiss ff450
Condition/keywords: macular dystrophy
-
Macular Dystrophy
Sep 20 2014 by Mehul A Shah
A 28-year-old female presented with complaint of exotropia and night blindness, on examination she was found to have this picture.
Photographer: Drashti Netralaya,Dahod
Imaging device: Zeiss ff450
Condition/keywords: macular dystrophy
-
Secondary Optic Atrophy
Sep 20 2014 by Mehul A Shah
A 24-year-old male presented with complaint of loss of vision, on examination he was found to have this picture.
Photographer: Drashti Netralaya,Dahod
Imaging device: Zeiss ff450
Condition/keywords: optic atrophy
-
Morning Glory Syndrome
Sep 20 2014 by Mehul A Shah
A 4-year-old girl presented with complaint of exotropia, on examination she was found to have this picture.
Photographer: Drashti Netralaya,Dahod
Imaging device: Zeiss ff450
Condition/keywords: congenital anomaly
-
Drusen
Sep 20 2014 by Mehul A Shah
A 70-year-old female operated for cataract and during post operative visit she found to have these lesions with 20/20 vision.
Photographer: Drashti Netralaya,Dahod
Imaging device: Zeiss ff450
Condition/keywords: drusen
-
Age Related Macular Degeneration
Sep 20 2014 by Mehul A Shah
A 65-year-old female patient presented with loss of vision and on examination found to have wet ARMD.
Photographer: Drashti Netralaya,Dahod
Imaging device: Zeiss ff450
-
Glaucomatous Optic Atrophy
Sep 20 2014 by Mehul A Shah
A 65-year-old male presented with loss of vision and found to have glaucomatous optic atrophy.
Photographer: Drashti Netralaya,Dahod
Imaging device: Zeiss ff450
Condition/keywords: glaucomatous atrophy of optic disc
-
Choroidal Coloboma
Sep 20 2014 by Mehul A Shah
A 24-year-old female found to have this coloboma when she presented to us for routine check up, her vision is 20/20 as it excluded disc and macula
Photographer: Drashti Netralaya,Dahod
Imaging device: Zeiss ff450
Condition/keywords: choroidal coloboma
-
Central Serous Retinopathy
Sep 20 2014 by Mehul A Shah
A 30-year-male presented with metamorphopsia and found to have this picture.
Photographer: Drashti Netralaya,Dahod
Imaging device: Zeiss ff450
Condition/keywords: central serous retinopathy (CSR)
-
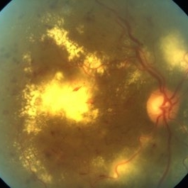
Proliferative Diabetic Retinopathy
Sep 20 2014 by Mehul A Shah
A 47-year-old female presented with loss of vision and on examination she had this picture.
Photographer: Drashti Netralaya,Dahod
Imaging device: Zeiss ff450
Condition/keywords: proliferative diabetic retinopathy (PDR)
-
Proliferative Diabetic Retinopathy
Sep 20 2014 by Mehul A Shah
A 70-year-old male presented with loss of vision and mature cataract after cataract removal we found a diabetic retinopathy in this form.
Photographer: Drashti Netralaya,Dahod
Imaging device: Zeiss ff450
Condition/keywords: proliferative diabetic retinopathy (PDR)
-
Proliferative Diabetic Retinopathy
Sep 20 2014 by Mehul A Shah
A 45-year-old type 1 diabetic presented with PDR.
Photographer: Drashti Netralaya,Dahod
Imaging device: Zeiss ff450
Condition/keywords: proliferative diabetic retinopathy (PDR)
-
Proliferative Diabetic Retinopathy
Sep 20 2014 by Mehul A Shah
A 55-year-old diabetic presented with sudden loss of vision and on examination he had pdr with tractional deachment.
Photographer: Drashti Netralaya,Dahod
Imaging device: Zeiss ff450
Condition/keywords: proliferative diabetic retinopathy (PDR)
-
Neovascularization of the Disc
Sep 20 2014 by Mehul A Shah
A 65-year-old diabetic female presented with gradual loss of vision and this is a FFA picture.
Photographer: Drashti Netralaya,Dahod
Imaging device: Zeiss ff450
Condition/keywords: neovascularization of the disc (NVD)
-
Optic Disc Coloboma
Sep 20 2014 by Mehul A Shah
A 30-year-old female presented to us with complaint of diminished vision and found to have this picture.
Photographer: Drashti Netralaya,Dahod
Imaging device: Zeiss ff450
Condition/keywords: disc coloboma
-
Chorio Retinital Inflammation
Sep 21 2014 by Mehul A Shah
A 45-year-old female presented with complaints of gradual loss of vision before 3 months and when reached to hospital had this picture.
Photographer: Drashti Netralaya,Dahod
Imaging device: Zeiss ff450
Condition/keywords: chorioretinal inflammations
-
Posttraumatic Subretinal Fibrosis
Sep 21 2014 by Mehul A Shah
A 30-year-old male presented to us with history of blunt trauma before few months, he was found to have subretinal hemorrhage and fibrosis.
Photographer: Drashti Netralaya,Dahod
Imaging device: Zeiss ff450
Condition/keywords: subretinal fibrin deposition
-
Myelinated Nerve Fiber
Sep 21 2014 by Mehul A Shah
A 35-year-old female came for refraction and on examination myelinated nerve fibers detected.
Photographer: Drashti Netralaya,Dahod
Imaging device: Zeiss ff450
Condition/keywords: myelinated nerve fibers
-
Subretinal Hematoma
Sep 22 2014 by Mehul A Shah
A 25-year-old male presented with blunt trauma with cricket ball.
Photographer: Drashti Netralaya,Dahod
Imaging device: Zeiss ff450
Condition/keywords: subretinal hemorrhage
-
Macular Hemorrhage in Myopia
Sep 24 2014 by Mehul A Shah
A 30-year-old male myopic patient presented with sudden loss of vision , on examination he was found to have subretinal hemorrhage and on FFA this picture is seen.
Photographer: Drashti Netralaya,Dahod
Imaging device: Zeiss ff450
Condition/keywords: macula lesion
-
Vitreous Opacities
Sep 24 2014 by Mehul A Shah
A 23-year-old male patient presented with history of open globe injury and we could see endophthalmitis with this picture after 2 weeks.
Photographer: Drashti Netralaya,Dahod
Imaging device: Zeiss ff450
Condition/keywords: endophthalmitis
-
Clinically Significant Macular Edema
Sep 24 2014 by Mehul A Shah
70-year-old type 1 diabetic female found to have macular edema.
Photographer: Drashti Netralaya,Dahod
Imaging device: Zeiss ff450
Condition/keywords: clinically significant macular edema (CSME)
-
Clinically Significant Macular Edema
Sep 24 2014 by Mehul A Shah
65-year-old type 1 diabetic female found to have macular edema.
Photographer: Drashti Netralaya,Dahod
Imaging device: Zeiss ff450
Condition/keywords: clinically significant macular edema (CSME)
-
Clinically Significant Macular Edema
Sep 24 2014 by Mehul A Shah
78-year-old diabetic male found to have macular edema.
Photographer: Drashti Netralaya,Dahod
Imaging device: Zeiss ff450
Condition/keywords: clinically significant macular edema (CSME)
-
Clinically Significant Macular Edema
Sep 24 2014 by Mehul A Shah
50-year-old type 1 diabetic female found to have macular edema.
Photographer: Drashti Netralaya,Dahod
Imaging device: Zeiss ff450
Condition/keywords: clinically significant macular edema (CSME)
-
Central Retinal Artery Occlusion
Sep 24 2014 by Mehul A Shah
26-year-old female presented with sudden loss of vision OD. She was found to have CRAO OD.She was pregnant having PIH.
Photographer: Drashti Netralaya,Dahod
Imaging device: Zeiss ff450
Condition/keywords: central retinal artery occlusion (CRAO)
-
Central Retinal Artery Occlusion
Sep 24 2014 by Mehul A Shah
65-year-old male presented with sudden loss of vision OS. He was found to have CRAO OS. He was found to be hypertensive.
Photographer: Drashti Netralaya,Dahod
Imaging device: Zeiss ff450
Condition/keywords: central retinal artery occlusion (CRAO)
-
Central Retinal Artery Occlusion
Sep 24 2014 by Mehul A Shah
56-year-old male presented with sudden loss of vision OD. He was found to have CRAO OD.
Photographer: Drashti Netralaya,Dahod
Imaging device: Zeiss ff450
Condition/keywords: central retinal artery occlusion (CRAO)
-
Central Retinal Vein Occlusion
Sep 27 2014 by Mehul A Shah
A 55-year-old male presented with sudden loss of vision. He was found to have systemic hypertension.
Photographer: Drashti Netralaya,Dahod
Imaging device: Zeiss ff450
Condition/keywords: central retinal vein occlusion (CRVO)
-
Choroidal Coloboma
Oct 1 2014 by Mehul A Shah
A 12-year-old girl child presented this picture during routine check up and found to have 20/20 vision and colobomas excluding fovea.
Photographer: Drashti Netralaya,Dahod
Imaging device: Zeiss ff450
Condition/keywords: choroidal coloboma
-
Clinically Significant Macular Edema
Oct 1 2014 by Mehul A Shah
65-year-old female diabetic presented with gradual diminished vision.
Photographer: Drashti Netralaya,Dahod
Imaging device: Zeiss ff450
Condition/keywords: clinically significant macular edema (CSME)
-
Chorioretinal Atrophy
Oct 1 2014 by Mehul A Shah
A 25-year-old male patient presented with bilateral similar picture.
Photographer: Drashti Netralaya,Dahod
Imaging device: Zeiss ff450
Condition/keywords: chorioretinal atrophy
-
Branch Retinal Vein Occlusion
Oct 1 2014 by Mehul A Shah
A 65-year-old male presented with complaint of sudden loss of vision outdoor OS on examination she had retinal picture like this. He was found to be hypertensive.
Photographer: Drashti Netralaya,Dahod
Imaging device: Zeiss ff450
Condition/keywords: branch retinal vein occlusion (BRVO)
-
Branch Retinal Vein Occlusion
Oct 1 2014 by Mehul A Shah
A 60-year-old lady presented with complaint of sudden loss of outdoor vision OS on examination she had retinal picture like this.
Photographer: Drashti Netralaya,Dahod
Imaging device: Zeiss ff450
Condition/keywords: branch retinal vein occlusion (BRVO)
-
Drusen
Oct 3 2014 by Mehul A Shah
A 65-year-old female presented to out door for refraction and found to have this picture and had vision 20/20.
Photographer: Drashti Netralaya,Dahod
Imaging device: Zeiss ff450
Condition/keywords: drusen
-
Eales Disease
Oct 3 2014 by Mehul A Shah
A 27-year-old male has been presented to us with sudden loss of vision OD and found to have vitreous hemorrhage, OS was found to have sclerotic vessels and perivasculitis.
Photographer: Drashti Netralaya,Dahod
Imaging device: Zeiss ff450
Condition/keywords: Eales disease
-
Eales Disease
Oct 3 2014 by Mehul A Shah
A 28-year-old presented with sudden loss of vision in OS found to have vitreous hemorrhage and this is picture in OD.
Photographer: Drashti Netralaya,Dahod
Imaging device: Zeiss ff450
Condition/keywords: Eales disease
-
Eales Disease
Oct 3 2014 by Mehul A Shah
A 40-year-old male presented complaint of gradual loss of vision OU and picture was like this.
Photographer: Drashti Netralaya,Dahod
Imaging device: Zeiss ff450
Condition/keywords: Eales disease
-
Eales Disease
Oct 3 2014 by Mehul A Shah
A 30-year-old male presented complaint of gradual loss of vision OU and picture was like this.
Photographer: Drashti Netralaya,Dahod
Imaging device: Zeiss ff450
Condition/keywords: Eales disease
-
Papilledema
Oct 3 2014 by Mehul A Shah
A 21-year-old male patient presented with complaint of gradual diminished vision OU. On retinal examination he was found to have this picture and later he was having CP angle tumor.
Photographer: Drashti Netralaya,Dahod
Imaging device: Zeiss ff450
Condition/keywords: papilledema
-
Papilledema
Oct 3 2014 by Mehul A Shah
A 55-year-old patient presented with blurring of vision OU and found to have this picture.
Photographer: Drashti Netralaya,Dahod
Imaging device: Zeiss ff450
Condition/keywords: papilledema
-
Secondary Optic Atrophy
Oct 3 2014 by Mehul A Shah
A 25-year-old female patient presented with blurring of vision OU and found to have post papilledema optic atrophy with absorbing macular exudates.
Photographer: Drashti Netralaya,Dahod
Imaging device: Zeiss ff450
Condition/keywords: papilledema
-
Hypertensive Retinopathy
Oct 3 2014 by Mehul A Shah
A 45-years-old patient presented with blurring of vision OU and found to have hypertensive retinopathy with papilledema, multiple cotton wool spots, av crossing changes.
Photographer: Drashti Netralaya,Dahod
Imaging device: Zeiss ff450
Condition/keywords: hypertensive retinopathy
-
Papilledema
Oct 3 2014 by Mehul A Shah
A 24-year-old patient presented with complaint of blurring of vision, this was picture seen in OU. He was found to have SOL.
Photographer: Drashti Netralaya,Dahod
Imaging device: Zeiss ff450
Condition/keywords: papilledema
-
Peripapillary Atrophy
Oct 3 2014 by Mehul A Shah
A 55-year-old patient presented with diminished vision OU on examination patient had glaucoma with peripapillary optic atrophy.
Photographer: Drashti Netralaya,Dahod
Imaging device: Zeiss ff450
Condition/keywords: atrophy, peripapillary
-
Juxtapapillary Choroiditis
Oct 3 2014 by Mehul A Shah
A 23-year-old patient presented to outdoor with loss of vision before three months.On examination his picture was like this.
Photographer: Drashti Netralaya,Dahod
Imaging device: Zeiss ff450
Condition/keywords: juxtapapillary subretinal pigmented lesion
-
Central Chorioretinitis
Oct 3 2014 by Mehul A Shah
A 30-year-old female presented with complaint of sudden loss of vision OS before 2 months, on examination she was found to have pigmented lesion.
Photographer: Drashti Netralaya,Dahod
Imaging device: Zeiss ff450
-
Macular Dystrophy
Oct 3 2014 by Mehul A Shah
A 23-year-old girl presented with gradual loss of vision and found to have bilateral macular dydtrophy.
Photographer: Drashti Netralaya,Dahod
Imaging device: Zeiss ff450
Condition/keywords: macular dystrophy
-
Glaucomatous Optic Atrophy
Oct 4 2014 by Mehul A Shah
A 46-year-old male presented for complaint of progressive loss of vision finding was seen.
Photographer: Drashti Netralaya,Dahod
Imaging device: Zeiss ff450
Condition/keywords: glaucomatous atrophy of optic disc
-
Myopic Degeneration
Oct 4 2014 by Mehul A Shah
A 40-year-old male presented with complaint of gradual diminished vision.
Photographer: Drashti Netralaya,Dahod
Imaging device: Zeiss ff450
Condition/keywords: posterior staphyloma
-
Traumatice Macular Hole
Oct 4 2014 by Mehul A Shah
A 27-year-old patient presented with history of blunt trauma and patient was examined few months later.
Photographer: Drashti Netralaya,Dahod
Imaging device: Zeiss ff450
Condition/keywords: traumatic macular hole
-
Optic Pit
Oct 4 2014 by Mehul A Shah
A 40-year-old male presented for routine check up and this finding occurred.
Photographer: Drashti Netralaya,Dahod
Imaging device: Zeiss ff450
Condition/keywords: optic pit
-
Multiple Intra Ocular Foreeign Body
Apr 23 2015 by Mehul A Shah
A slit lamp photograph showing multiple foreign bodies in anterior chamber.
Photographer: Mehul Shah
Condition/keywords: penetrating trauma
-
Age-Relagted Macular Degeneration
Apr 23 2015 by Mehul A Shah
Wet macular degeneration.
Photographer: Mehul Shah
Imaging device: Zeiss FF450 Plus
Condition/keywords: age-related macular degeneration (AMD)
-
Chorio Retinal Atrophy
Apr 23 2015 by Mehul A Shah
Patient presented with progressive visual loss ou.
Photographer: Mehul Shah
Condition/keywords: chorioretinal atrophy
-
Macular Dystrophy
Apr 23 2015 by Mehul A Shah
23-year-old boy presented with complaint of diminished vision.
Photographer: Mehul Shah
Imaging device: Zeiss FF450 Plus
Condition/keywords: macular dystrophy
-
Impending Branch Retinal Vein Occlusion
Apr 23 2015 by Mehul A Shah
Patient presented with diminished vision found to have vision 6/12 and patient became 6/6 after anti vegf injection.
Photographer: Mehul Shah
Imaging device: Zeiss FF450 Plus
Condition/keywords: branch vein occlusion (BVO), venous occlusion
-
Central Retinal Vein Occlusion
Apr 23 2015 by Mehul A Shah
Patient presented with sudden loss of vision and patient had systemic hypertension.
Photographer: Mehul Shah
Imaging device: Zeiss FF450 Plus
Condition/keywords: central retinal vein occlusion (CRVO), venous occlusion
-
Optic atrophy
Apr 23 2015 by Mehul A Shah
23-year-old male presented with sudden loss of vision following methyl alcohol poisoning and picture after 3 months.
Photographer: Mehul Shah
Imaging device: Zeiss FF450 Plus
Condition/keywords: optic atrophy
-
Clinically Significant Macular Edema
Apr 23 2015 by Mehul A Shah
Patient presented with complaints of diminished vision ou.
Photographer: Mehul Shah
Imaging device: Zeiss FF450 Plus
Condition/keywords: diabetic macular edema
-
Papilledema
Apr 23 2015 by Mehul A Shah
25-year-old male patient presented to us with complaints of headache, vomiting and convulsion on CT scan he was found to have SOL.
Photographer: Mehul Shah
Imaging device: Zeiss FF450 Plus
Condition/keywords: papilledema
-
Macular Hole
Apr 23 2015 by Mehul A Shah
50-year-old female presented with complaints of diminished vision ou and found to have large macular holes.
Photographer: Mehul Shah
Imaging device: Zeiss FF450 Plus
Condition/keywords: macular hole
-
Proliferative Diabetic retinopathy
Apr 23 2015 by Mehul A Shah
55 -year-old female presented with complains of loss of vision OU.
Photographer: Mehul Shah
Imaging device: FF450 okus zeiss
Condition/keywords: proliferative diabetic retinopathy (PDR)
-
Macular Dystrophy
Apr 23 2015 by Mehul A Shah
20-year-old female presented with poor vision and found to have macular dystrophy ou.
Photographer: Mehul Shah
Condition/keywords: macular dystrophy
-
Subhyaloid Haemorrhage
Apr 23 2015 by Mehul A Shah
A 25-year-old male presented with complaints of sudden loss of vision following blood transfusion patient treated with laser hyaloidotomy and regained vision 6/12 within 2 days.
Photographer: Mehul Shah
Imaging device: Zeiss FF450plus
Condition/keywords: hemorrhage
-
Traumatic optic nerve avulsion
Apr 23 2015 by Mehul A Shah
30-year-old male presented with blunt ocular trauma following vehicular accident, and lost vision on examination fundus picture is displayed in image.
Photographer: Mehul Shah, Drashti Netralaya
Imaging device: Zeiss FF450plus
Condition/keywords: optic nerve head avulsion, traumatic optic neuropathy
-
Inverse hypopyon-Emulcified silicon Oil
Apr 24 2015 by Mehul A Shah
Patient had history of vitrectomy with silicon oil injection before 6 years.
Photographer: Mehul Shah
Imaging device: Zeiss FF450plus
Condition/keywords: Inverse hypopyon, silicone oil
-
Traumatic Cataract Rossette
Apr 24 2015 by Mehul A Shah
25-year-old male presented with complaint of blunt trauma, presented after 3 week as rosette cataract picture shemoflage retro illumination.
Photographer: Mehul Shah, Drashti Netralaya
Imaging device: Zeiss FF450plus
Condition/keywords: rossette cataract, traumatic cataract
-
Developmental cataract
Apr 24 2015 by Mehul A Shah
A 9-year-old girl has presented with complaint of diminished vision ou. On retro illumination this image was captured.
Photographer: Mehul Shah, Drashti Netralaya
Imaging device: FORUS
Condition/keywords: developmental cataract, pediatric cataract
-
Traumatic Subluxation of lens
Apr 24 2015 by Mehul A Shah
23-year-old male presented with history of blunt trauma and diminished vision.
Photographer: Mehul Shah, Drashti Netralaya
Imaging device: FORUS
Condition/keywords: blunt trauma, globe perforation, subluxation of lens
-
Macular Dystrophy
Apr 24 2015 by Mehul A Shah
18-year-old male presented with complaints of diminished vision ou and found to have both macula affected.
Photographer: Mehul Shah, Drashti Netralaya
Imaging device: Zeiss FF450plus
Condition/keywords: macular dystrophy
-
Macular Dystrophy
Apr 24 2015 by Mehul A Shah
A 19-year-old female presented and macular changes seen in image.
Photographer: Mehul Shah, Drashti Netralaya
Imaging device: Zeiss FF450plus
Condition/keywords: macular dystrophy
-
Macular Dystrophy
Apr 24 2015 by Mehul A Shah
A 17-year-old girl presented with loss of vision and found to have lesions in macula ou, similar picture found in 2 sisters.
Photographer: Mehul Shah, Drashti Netralaya
Imaging device: Zeiss FF450plus
Condition/keywords: macular dystrophy
-
Central Retinal Vein Occlusion
Apr 24 2015 by Mehul A Shah
A 55-year-old female presented with sudden loss of vision, she is known case of systemic hypertension presenting vision was FCNF and had severe macular edema.
Photographer: Mehul Shah, Drashti Netralaya
Imaging device: Zeiss FF450plus
Condition/keywords: central retinal vein occlusion (CRVO), venous occlusion
-
Branch Retinal Vein Occlusion
Apr 24 2015 by Mehul A Shah
A 44-year-old male presented with branch retinal vein occlusion, he improved to 20/20 after anti VEGF injection.
Photographer: Mehul Shah, Drashti Netralaya
Imaging device: Zeiss FF450plus
Condition/keywords: branch retinal vein occlusion (BRVO)
-
Microspherophakia
May 1 2015 by Mehul A Shah
A 10-year-old boy presented with complaint of diminished vision ou, he was found to have small circular lenses without very scanty zonules. He was operated for lensectomy and vitrectomy with scleral fixated IOL OU.
Photographer: Mehul Shah, Drashti Netralaya
Imaging device: FORUS
Condition/keywords: microspherophakia
-
Subhyaloid Haemorrhage
May 1 2015 by Mehul A Shah
A 19-year-old female patient with anaemia presented with complaint of diminished vision following blood transfusion o examination she was found to have this picture.
Photographer: Mehul Shah, Drashti Netralaya
Imaging device: Zeiss FF450plus
Condition/keywords: subhyaloid hemorrhage
-
Retinoschisis
May 1 2015 by Mehul A Shah
A 24-year-old boy presented with diminished vision and found to have retinoschisis with break in internal layer.
Photographer: Mehul Shah, Drashti Netralaya
Imaging device: Zeiss FF450plus
Condition/keywords: bullous retinoschisis
-
Retinal Detachment with Choroidal effusion
May 1 2015 by Mehul A Shah
A 60-year-old male presented to us with complaint of Diminished vision and on examination he was found to have retinal detachment with choroidal effusion.
Photographer: Mehul Shah, Drashti Netralaya
Imaging device: Zeiss FF450plus
-
Laminer dots
May 1 2015 by Mehul A Shah
A 67-year-old glaucomatous patient presented and optic disc changes had laminar dots and peri pappilary atrophy.
Photographer: Mehul Shah, Drashti Netralaya
Imaging device: Zeiss FF450plus
Condition/keywords: glaucomatous atrophy of optic disc
-
Central Serous Retinopathy
May 1 2015 by Mehul A Shah
A 24-year-old patient presented with blurring of vision since 4 days on examination he was found to have CSR.
Photographer: Mehul Shah, Drashti Netralaya
Imaging device: Zeiss FF450plus
Condition/keywords: central serous retinopathy (CSR)
-
Proliferative Diabetic Retinopathy
May 1 2015 by Mehul A Shah
A 64-year-old male diabetic patient presented with diminished vision ou.
Photographer: Mehul Shah, Drashti Netralaya
Imaging device: Zeiss FF450plus
Condition/keywords: proliferative diabetic retinopathy (PDR)
-
Traumatic Optic Nerve Avulsion
Jul 16 2015 by Mehul A Shah
A 21-year-old male presented to outdoor with history of blunt trauma and loss of vision on examination we found anterior segment to be normal and posterior segment had this picture.
Photographer: Mehul Shah, Drashti Netralaya
Imaging device: FF450 plus zeiss
Condition/keywords: blunt trauma, optic neuropathy
-
Spontaneous Dislocation of Capsular Bag
Jul 26 2015 by Mehul A Shah
A 57-year-old male presented with complaint of loss of vision after 3 years of cataract surgery, on examination his lens bag found dislocated in anterior chamber.
Photographer: Mehul Shah, Drashti Netralaya
Condition/keywords: intraocular lens dislocation
-
Siderotic Cataract
Jul 26 2015 by Mehul A Shah
A 10-year-old boy presented with diminished vision following injury while playing. During surgery we could detect small foreign body, which was removed by magnate. We did not find any finding suggestive of siderosis in posterior segment.
Photographer: Mehul Shah, Drashti Netralaya
Condition/keywords: intraocular foreign body
-
Branch Retinal Artery Occlusion
Feb 12 2016 by Mehul A Shah
60-year-old male presented with complaint of sudden loss of vision, presenting vision was fcnf anterior segment was normal/
Photographer: Mehul Shah
Condition/keywords: branch retinal artery occlusion (BRAO), vascular occlusions
-
Subhyaloid Hemorrhage
Oct 2 2017 by Mehul A Shah
A 25-year-old patient presented with history of sudden loss of vision following blunt trauma.
Photographer: Mehul Shah
Condition/keywords: subhyaloid hemorrhage
-
Traumatic Macular Hole
Oct 2 2017 by Mehul A Shah
A 43-year-old male presented with history of blunt trauma before 6 months. Clinical picture was presented to us.
Photographer: Mehul Shah
Condition/keywords: traumatic macular hole
-
Secondary Optic Atrophy
Oct 2 2017 by Mehul A Shah
A patient presented after operated for pitutary adenoma and complained of loss of vision this is clinical picture.
Photographer: Mehul Shah
Condition/keywords: optic atrophy
-
Macular Dystrophy
Oct 2 2017 by Mehul A Shah
A 20-year-old male presented with loss of central vision clinical picture captured.
Photographer: Mehul Shah
Condition/keywords: macular dystrophy
-
Chorioretinal Atrophy
Oct 2 2017 by Mehul A Shah
A 24-year-old female presented to is with complaint of gradual loss of vision.
Photographer: Mehul Shah
Condition/keywords: chorioretinal atrophy
-
Central Retinal Artery Occlusion
Oct 2 2017 by Mehul A Shah
A 56-year-old patient presented with complaint of sudden loss of vision found to have this picture.
Photographer: Mehul Shah
Condition/keywords: central retinal artery occlusion (CRAO)
-
Central Retinal Artery Occlusion
Oct 2 2017 by Mehul A Shah
Central retinal artery occlusion treated using vaso dilaters and paracentesis only pl vision.
Photographer: Mehul Shah
Imaging device: SMART PHONE
Condition/keywords: central retinal artery occlusion (CRAO)
-
Central Retinal Artery Occlusion
Dec 2 2017 by Mehul A Shah
This patient 65-year-old female presented in emergency and was treated with paracentesis and vasodilators patient improved from HM to 6/18
Photographer: Mehul Shah
Condition/keywords: central retinal artery occlusion (CRAO)
-
Vasculitis
Oct 17 2018 by Mehul A Shah
23-year-old male presented with diminished vision OU. This is a fundus picture OD.
Photographer: MEHUL SHAH
Condition/keywords: Eales disease
-
Optic Disc Coloboma
Oct 17 2018 by Mehul A Shah
14-year-old girl at routine check-up and fundus picture found optic disc coloboma.
Photographer: MEHUL SHAH
Condition/keywords: coloboma of optic disc
-
Lens Coloboma
Oct 17 2018 by Mehul A Shah
35-year-old male presented with diminished vision. On examination he was having nuclear sclerosis and lens coloboma.
Photographer: MEHUL SHAH
Condition/keywords: coloboma
