-
By Mehul A Shah
Drashti Netralaya
Co-author(s): Shreya Shah,Prerna Shah,Kashyap Patel,Nirav Patel,Ritu Pandya - Uploaded on Sep 24, 2014.
- Last modified by Caroline Bozell on Sep 24, 2014.
- Rating
- Appears in
- Miscellaneous
- Condition/keywords
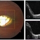
- macula lesion
- Photographer
- Drashti Netralaya,Dahod
- Imaging device
-
Fundus camera
Zeiss ff450 - Description
- A 30-year-old male myopic patient presented with sudden loss of vision , on examination he was found to have subretinal hemorrhage and on FFA this picture is seen.

Initializing download.