-
By Mehul A Shah
Drashti Netralaya
Co-author(s): SHREYA SHAH - Uploaded on Oct 17, 2018.
- Last modified by Caroline Bozell on Oct 19, 2018.
- Rating
- Appears in
- Miscellaneous
- Condition/keywords
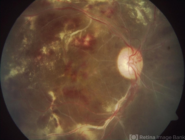
- Eales disease
- Photographer
- MEHUL SHAH
- Imaging device
- Fundus camera
- Description
- 23-year-old male presented with diminished vision OU. This is a fundus picture OD.

Initializing download.