-
By Mehul A Shah
Drashti Netralaya
Co-author(s): Shreya Shah,Pritesh Teori,Anjli Israni - Uploaded on Jul 26, 2015.
- Last modified by Caroline Bozell on Jul 27, 2015.
- Rating
- Appears in
- Miscellaneous
- Condition/keywords
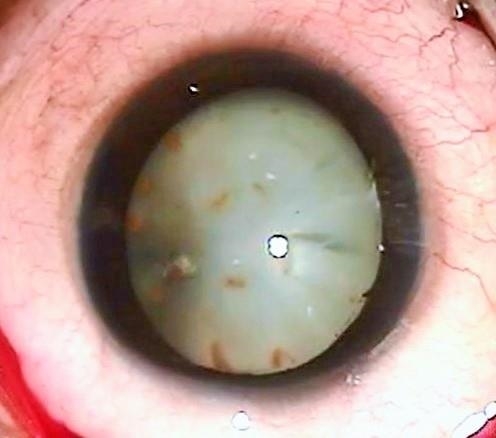
- intraocular foreign body
- Photographer
- Mehul Shah, Drashti Netralaya
- Imaging device
- 35mm external camera
- Description
- A 10-year-old boy presented with diminished vision following injury while playing. During surgery we could detect small foreign body, which was removed by magnate. We did not find any finding suggestive of siderosis in posterior segment.

Initializing download.