-
By Mehul A Shah
Drashti Netralaya
Co-author(s): Shreya Shah,Kashyap Patel,Ashit Shah,Dilip Batra - Uploaded on May 1, 2015.
- Last modified by Chayal Patel on May 7, 2015.
- Rating
- Appears in
- Miscellaneous
- Condition/keywords
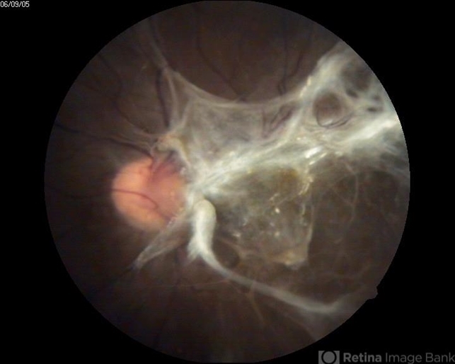
- proliferative diabetic retinopathy (PDR)
- Photographer
- Mehul Shah, Drashti Netralaya
- Imaging device
-
Fundus camera
Zeiss FF450plus - Description
- A 64-year-old male diabetic patient presented with diminished vision ou.

Initializing download.