-
By Mehul A Shah
Drashti Netralaya
Co-author(s): Shreya Shah,Prerna Shah,Kashyap Patel,Nirav Patel,Ritu Pandya - Uploaded on Sep 20, 2014.
- Last modified by Mehul A Shah on Sep 23, 2014.
- Rating
- Appears in
- Miscellaneous
- Condition/keywords
- congenital anomaly
- Photographer
- Drashti Netralaya,Dahod
- Imaging device
-
Fundus camera
Zeiss ff450 - Description
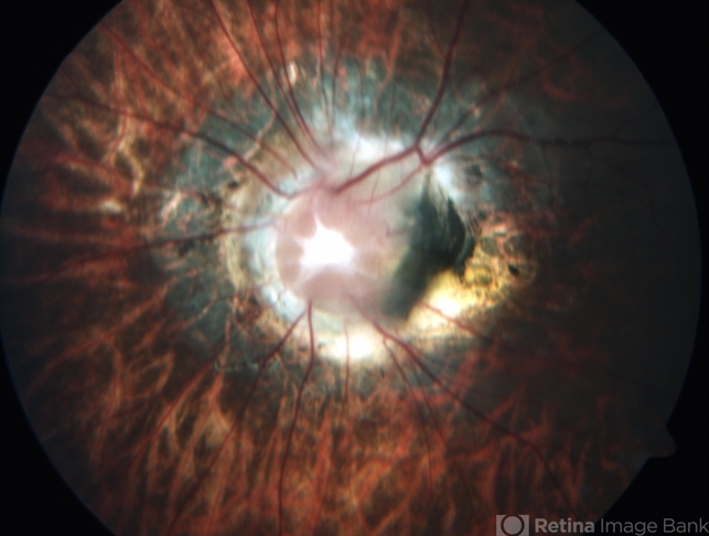
- A 4-year-old girl presented with complaint of exotropia, on examination she was found to have this picture.

Initializing download.