-
By Mehul A Shah
Drashti Netralaya
Co-author(s): Shreya Shah,Prerna Shah,Kashyap Patel,Nirav Patel,Ritu Pandya - Uploaded on Oct 4, 2014.
- Last modified by Caroline Bozell on Oct 6, 2014.
- Rating
- Appears in
- Miscellaneous
- Condition/keywords
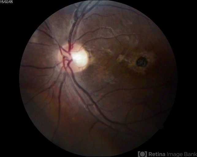
- traumatic macular hole
- Photographer
- Drashti Netralaya,Dahod
- Imaging device
-
Fundus camera
Zeiss ff450 - Description
- A 27-year-old patient presented with history of blunt trauma and patient was examined few months later.

Initializing download.