-
By Mehul A Shah
Drashti Netralaya
Co-author(s): Shreya shah,Prerna Shah - Uploaded on Jul 16, 2015.
- Last modified by Caroline Bozell on Jul 17, 2015.
- Rating
- Appears in
- Miscellaneous
- Condition/keywords
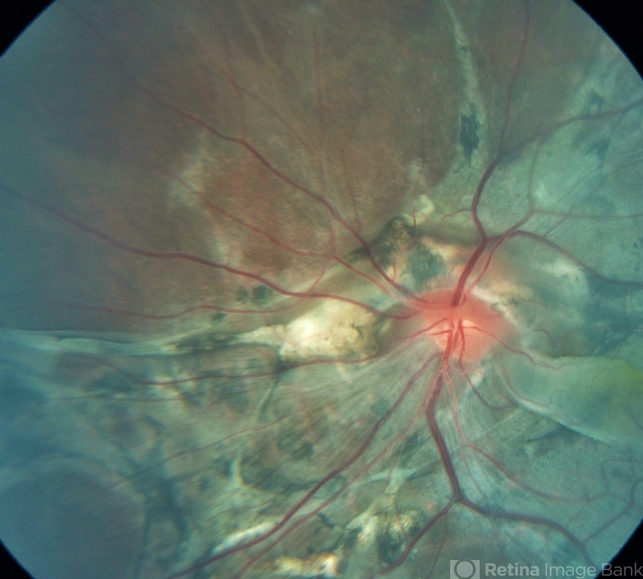
- optic neuropathy, blunt trauma
- Photographer
- Mehul Shah, Drashti Netralaya
- Imaging device
-
Fundus camera
FF450 plus zeiss - Description
- A 21-year-old male presented to outdoor with history of blunt trauma and loss of vision on examination we found anterior segment to be normal and posterior segment had this picture.

Initializing download.