- 
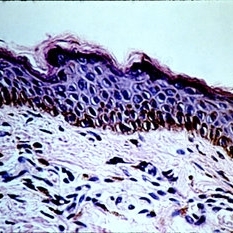
     Slide 5-1 Slide 5-1Feb 20 2019 by Lancaster Course in Ophthalmology Normal lid skin from a darkly pigmented individual. Condition/keywords: normal eye 
- 
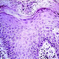
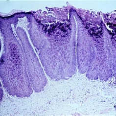
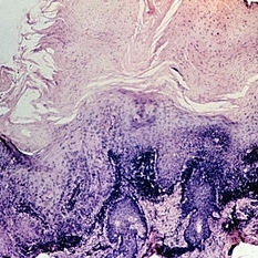
     Slide 5-2 Slide 5-2Feb 20 2019 by Lancaster Course in Ophthalmology The thickened epidermis shows acanthosis (prickle cell proliferation) and parakeratosis (retention of nuclei in desquamating surface-layer cells). Condition/keywords: acanthosis, epidermis, Keratosis pilaris (KP), prickle cell proliferation 
- 
     Slide 5-3 Slide 5-3Feb 20 2019 by Lancaster Course in Ophthalmology Loss of orderly maturation of epidermal cells (dysplasia). The red blood cell-like ellipse in the center of the epithelium is a cell which has keratinized out of place (dyskeratosis). Condition/keywords: dyskeratosis, dysplasia, epidermal cells, epithelium 
- 
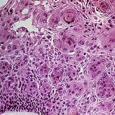
     Slide 5-4 Slide 5-4Feb 20 2019 by Lancaster Course in Ophthalmology Marked downward proliferation of acanthotic epithelium (pseudoepitheliomatous hyperplasia) at the edge of a fungal ulcer. Condition/keywords: acanthosis, fungal ulcer 
- 
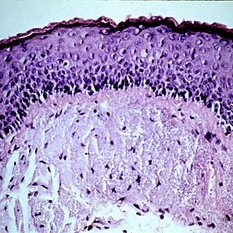
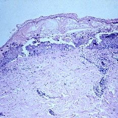
     Slide 5-5 Slide 5-5Feb 20 2019 by Lancaster Course in Ophthalmology Thick layer of basophilic (bluish) glassy fibers in the subepithelial tissue represents elastosis. Condition/keywords: basophilic, elastosis, subepithelial tissue 
- 
     Slide 5-6 Slide 5-6Feb 20 2019 by Lancaster Course in Ophthalmology Papula lid lesions of sarcoid. (Courtesy of Donald Morris, M.D.) Condition/keywords: eye lid, sarcoid 
- 
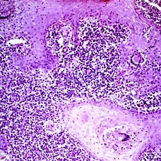
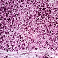
     Slide 5-7 Slide 5-7Feb 20 2019 by Lancaster Course in Ophthalmology Discrete pink clumps of epithelioid cells in sarcoid. Note the giant cell in one clump. Condition/keywords: epithelioid cells, giant cell, sarcoid 
- 
     Slide 5-8 Slide 5-8Feb 20 2019 by Lancaster Course in Ophthalmology Small chalazion in situ in the lid. Lipogranulomatous reaction around large and small clear spaces (pools of dissolved fat) from a single obstructed meibomian lobule. Condition/keywords: chalazion, lipogranulomatous reaction, meibomian lobule, situ 
- 
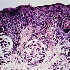
     Slide 5-9 Slide 5-9Feb 20 2019 by Lancaster Course in Ophthalmology Verruca vulgaris of the lid showing acanthotic downgrowths of epithelium incurving toward the center. Condition/keywords: acanthosis, epithelium, verruca vulgaris 
- 
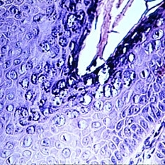
     Slide 5-10 Slide 5-10Feb 20 2019 by Lancaster Course in Ophthalmology Vacuolated epidermal cells containing basophilic intranuclear viral inclusions. Condition/keywords: basophilic, epidermal cells 
- 
     Slide 5-11 Slide 5-11Feb 20 2019 by Lancaster Course in Ophthalmology Molluscum contagiosum nodule on lid margin. Condition/keywords: eye lid, molluscum contagiosum nodule 
- 
     Slide 5-12 Slide 5-12Feb 20 2019 by Lancaster Course in Ophthalmology Thick, acanthotic lobules of epithelial cells with large, red cytoplasmic inclusions in the inner cells. Condition/keywords: acanthosis, cytoplasmic inclusions, inner cells 
- 
     Slide 5-13 Slide 5-13Feb 20 2019 by Lancaster Course in Ophthalmology Intraepidermal bulla in herpes zoster of the skin. Condition/keywords: intraepidermal bulla 
- 
     Slide 5-14 Slide 5-14Feb 20 2019 by Lancaster Course in Ophthalmology Fusion of infected epidermal cells form giant cells in the base of a lesion. Note the many intranuclear red inclusion bodies. Condition/keywords: epidermal cells, giant cell, intranuclear red inclusion bodies 
- 
     Slide 5-15 Slide 5-15Feb 20 2019 by Lancaster Course in Ophthalmology Symmetrical plaques of xanthelasma. Condition/keywords: xanthelasma 
- 
     Slide 5-16 Slide 5-16Feb 20 2019 by Lancaster Course in Ophthalmology Symmetrical plaques of xanthelasma. Condition/keywords: symmetrical, xanthelasma 
- 
     Slide 5-17 Slide 5-17Feb 20 2019 by Lancaster Course in Ophthalmology Bland, foamy macrophage accumulation in the dermis from xanthelasma. Note the single Touton giant cell below the center. Condition/keywords: epidermis, giant cell, macrophage accumulation 
- 
     Slide 5-18 Slide 5-18Feb 20 2019 by Lancaster Course in Ophthalmology Dermoid cyst of the left upper lid in an 11-month-old female (Courtesy of John Hoepner, M.D.) Condition/keywords: cyst, eye lid 
- 
     Slide 5-19 Slide 5-19Feb 20 2019 by Lancaster Course in Ophthalmology Keratinizing epithelium lining a dermoid cyst in the center, with keratin contents and a single large hair above. The connective tissue wall has a large hair follicle in it. Condition/keywords: cyst, epithelium 
- 
     Slide 5-20 Slide 5-20Feb 20 2019 by Lancaster Course in Ophthalmology Edge of three cystic cavities in a multilocular Moll cyst. The upper wall has a small area of "decapitate secretion" on the surface of the lining cells. Condition/keywords: cyst, cystic cavities, decapitate secretion, multilocular 
- 
     Slide 5-21 Slide 5-21Feb 20 2019 by Lancaster Course in Ophthalmology Hyperkeratotic squamous papilloma consisting of thin, keratin-covered fronds with dermal cores. Condition/keywords: dermal cores, papilloma 
- 
     Slide 5-22 Slide 5-22Feb 20 2019 by Lancaster Course in Ophthalmology Seborrheic keratoses with notable pigmentation. (Courtesy of Anthony Dark, M.D.) Condition/keywords: Keratosis pilaris (KP) 
- 
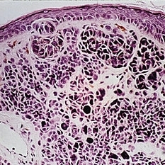
     Slide 5-23 Slide 5-23Feb 20 2019 by Lancaster Course in Ophthalmology Basal cell proliferation and keratin cysts of a typical seborrheic keratosis. Condition/keywords: basal cell, cyst, Keratosis pilaris (KP) 
- 
     Slide 5-24 Slide 5-24Feb 20 2019 by Lancaster Course in Ophthalmology Inverted follicular keratosis with thick, acanthotic, folded epithelium and keratin cysts. Condition/keywords: acanthosis, cyst, epithelium 
- 
     Slide 5-25 Slide 5-25Feb 25 2019 by Lancaster Course in Ophthalmology Center of epidermis has three "squamous eddies" of whorled squamous cells. Condition/keywords: epidermis, squamous cells, squamous eddies 
- 
     Slide 5-26 Slide 5-26Feb 25 2019 by Lancaster Course in Ophthalmology Keratoacanthoma of the lid. (Courtesy of Anthony Dark, M.D.) Condition/keywords: keratoacanthoma, lids 
- 
     Slide 5-27 Slide 5-27Feb 25 2019 by Lancaster Course in Ophthalmology Cup-shaped keratoacanthoma with central keratin plug. Condition/keywords: keratin plug, keratoacanthoma 
- 
     Slide 5-28 Slide 5-28Feb 25 2019 by Lancaster Course in Ophthalmology Senile keratosis has marked hyperkeratinization with columns of para keratosis and dermal infiltrate. Condition/keywords: dermal infiltrate, hyperkeratinization, senile keratosis 
- 
     Slide 5-29 Slide 5-29Feb 25 2019 by Lancaster Course in Ophthalmology A cutaneous horn arising from an inverted follicular keratosis. Condition/keywords: cutaneous horn, inverted follicular keratosis 
- 
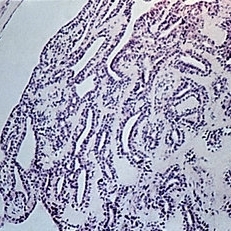
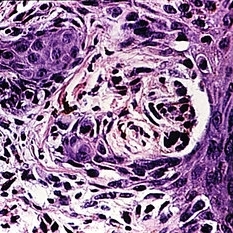
     Slide 5-30 Slide 5-30Feb 25 2019 by Lancaster Course in Ophthalmology Two-layered sweat gland ducts in a tubular hidradenoma. Condition/keywords: sweat gland ducts, tubular hidradenoma 
- 
     Slide 5-31 Slide 5-31Feb 25 2019 by Lancaster Course in Ophthalmology Pilomatrixoma of the lid. (Courtesy of Schiele Brewer, M.D.) Condition/keywords: lids, tumor 
- 
     Slide 5-33 Slide 5-33Feb 25 2019 by Lancaster Course in Ophthalmology Cystic basal cell carcinoma arising in the skin of the lid, which was incorrectly diagnosed clinically. Condition/keywords: basal cell, lids 
- 
     Slide 5-34 Slide 5-34Feb 25 2019 by Lancaster Course in Ophthalmology Large nuclei of an ulceronodular basal cell carcinoma can be compared with the adjacent normal epithelial cell nuclei. Note the peripheral palisading of the nuclei around the edge of the tumor lobules. Condition/keywords: basal cell carcinoma of eyelid, epithelial, nuclei 
- 
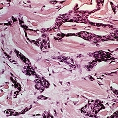
     Slide 5-35 Slide 5-35Feb 25 2019 by Lancaster Course in Ophthalmology Cords of infiltrating basal cells in the dense, fibrous stroma of a morphea type basal cell carcinoma. Condition/keywords: basal cell, basal cell carcinoma of eyelid, fibrous stroma 
- 
     Slide 5-36 Slide 5-36Feb 25 2019 by Lancaster Course in Ophthalmology Basal cell carcinoma originating from five separate sites in the surface epithelium over the lacrimal punctum and canaliculus. Condition/keywords: basal cell, canaliculus, epithelium, lacrimal punctum 
- 
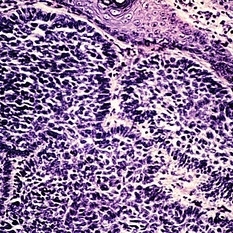
     Slide 5-37 Slide 5-37Feb 25 2019 by Lancaster Course in Ophthalmology Edge of squamous cell carcinoma of the skin showing sudden change from normal epithelium to infiltrating islands of large, malignant squamous cells. Condition/keywords: epithelium, squamous cells 
- 
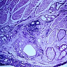
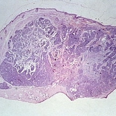
     Slide 5-38 Slide 5-38Feb 25 2019 by Lancaster Course in Ophthalmology Cross-section of lid showing sebaceous carcinoma occupying the tarsal and middle compartments. Condition/keywords: lids, tarsus 
- 
     Slide 5-39 Slide 5-39Feb 25 2019 by Lancaster Course in Ophthalmology Lobule of with central foamy cells best seen in upper left. Condition/keywords: lobule 
- 
     Slide 5-40 Slide 5-40Feb 25 2019 by Lancaster Course in Ophthalmology Three nests of nevus cells at the tips of epithelial rete pegs, forming a "junctional" nevus. Condition/keywords: epithelial, nevus 
- 
     Slide 5-41 Slide 5-41Feb 25 2019 by Lancaster Course in Ophthalmology One nest of junctional nevus cells at the base of the epidermis and larger nodules of nevus cells in the dermis make this a "compound" nevus. Condition/keywords: epidermis, junctional nevus 
- 
     Slide 5-42 Slide 5-42Feb 25 2019 by Lancaster Course in Ophthalmology Inconspicuous spindle nevus cells and pigment in dense collagen of the dermis constitute a "blue" nevus. Condition/keywords: collagen, nevus, pigment 
- 
     Slide 5-43 Slide 5-43Feb 25 2019 by Lancaster Course in Ophthalmology Nest of atypical melanocytes resembling a junctional nevus at the edge of a superficial spreading melanoma in a 70-year-old female. Note the inflammatory cells in the dermis. Condition/keywords: junctional nevus, melanocytes, melanoma 
