- 
            
             By Lancaster Course in Ophthalmology By Lancaster Course in Ophthalmology
 1980
- Uploaded on Feb 25, 2019.
- Last modified by Caroline Bozell on Feb 28, 2019.
- Rating
- Appears in
- Unit 05 Diseases of the Eyelids
- Condition/keywords
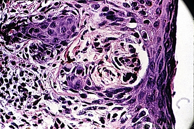
- melanocytes, junctional nevus, melanoma
- Description
- Nest of atypical melanocytes resembling a junctional nevus at the edge of a superficial spreading melanoma in a 70-year-old female. Note the inflammatory cells in the dermis.

 
        
 Initializing download.
                Initializing download. 
             
             
             
             
             
             
             
             
             
            ---thumb.jpg/image-square;max$79,0.ImageHandler) 
            ---thumb.jpg/image-square;max$79,0.ImageHandler)