-
By Lancaster Course in Ophthalmology
1980 - Uploaded on Feb 20, 2019.
- Last modified by Caroline Bozell on Feb 28, 2019.
- Rating
- Appears in
- Unit 05 Diseases of the Eyelids
- Condition/keywords
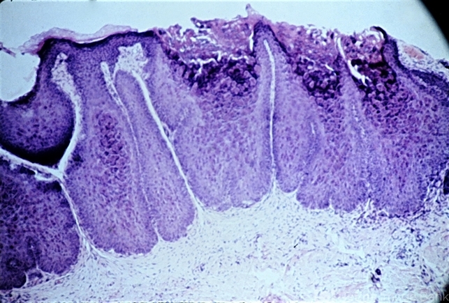
- cytoplasmic inclusions, inner cells, acanthosis
- Description
- Thick, acanthotic lobules of epithelial cells with large, red cytoplasmic inclusions in the inner cells.

Initializing download.