- 
            
             By Lancaster Course in Ophthalmology By Lancaster Course in Ophthalmology
 1980
- Uploaded on Feb 20, 2019.
- Last modified by Caroline Bozell on Feb 28, 2019.
- Rating
- Appears in
- Unit 05 Diseases of the Eyelids
- Condition/keywords
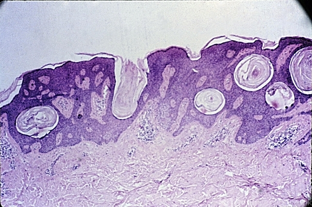
- basal cell, cyst, Keratosis pilaris (KP)
- Description
- Basal cell proliferation and keratin cysts of a typical seborrheic keratosis.

 
        
 Initializing download.
                Initializing download. 
            ---thumb.jpg/image-square;max$79,0.ImageHandler) 
            ---thumb.jpg/image-square;max$79,0.ImageHandler) 
             
             
             
             
            