-
By Lancaster Course in Ophthalmology
1980 - Uploaded on Feb 25, 2019.
- Last modified by Caroline Bozell on Feb 28, 2019.
- Rating
- Appears in
- Unit 05 Diseases of the Eyelids
- Condition/keywords
- lids, tarsus
- Description
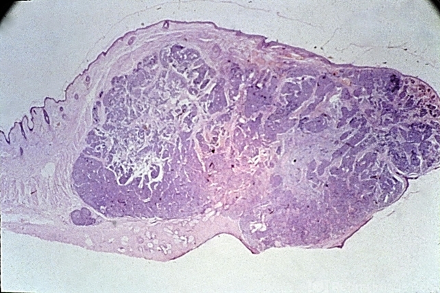
- Cross-section of lid showing sebaceous carcinoma occupying the tarsal and middle compartments.

Initializing download.