-
By Lancaster Course in Ophthalmology
1980 - Uploaded on Feb 25, 2019.
- Last modified by Caroline Bozell on Feb 28, 2019.
- Rating
- Appears in
- Unit 05 Diseases of the Eyelids
- Condition/keywords
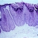
- cutaneous horn, inverted follicular keratosis
- Description
- A cutaneous horn arising from an inverted follicular keratosis.

Initializing download.