-
By Lancaster Course in Ophthalmology
1980 - Uploaded on Feb 25, 2019.
- Last modified by Caroline Bozell on Feb 28, 2019.
- Rating
- Appears in
- Unit 05 Diseases of the Eyelids
- Condition/keywords
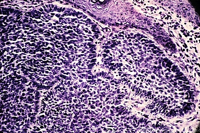
- nuclei, basal cell carcinoma of eyelid, epithelial
- Description
- Large nuclei of an ulceronodular basal cell carcinoma can be compared with the adjacent normal epithelial cell nuclei. Note the peripheral palisading of the nuclei around the edge of the tumor lobules.

Initializing download.