-
Giant Retinal Tear
Apr 1 2016 by Nichole Lewis
Giant retinal tear montaged on Anterior Segment due to the Detachment being very bullous.
Photographer: Nichole Lewis - Pennsylvania Retina Specialists, Camp Hill, PA
Condition/keywords: giant retinal tear, retinal tear
-
Vogt-Koyanagi-Harada Syndrome
Apr 1 2016 by Nichole Lewis
VKH
Photographer: Nichole Lewis - Pennsylvania Retina Specialists, Camp Hill, PA
Condition/keywords: edema, Vogt-Koyanagi-Harada
-
Vogt-Koyanagi-Harada Syndrome
Apr 1 2016 by Nichole Lewis
VKH
Photographer: Nichole Lewis
Condition/keywords: edema, Vogt-Koyanagi-Harada
-
Retinal Hemorrhage
Apr 1 2016 by Nichole Lewis
Retinal hemorrhage.
Photographer: Nichole Lewis - Pennsylvania Retina Specialists, Camp Hill, PA
Condition/keywords: retinal hemorrhage
-
Behcet's Syndrome
Apr 1 2016 by Nichole Lewis
Behcet's Syndrome
Photographer: Nichole Lewis - Pennsylvania Retina Specialists, Camp Hill, PA
Condition/keywords: Behcet's Disease, obliterative peripheral vasculitis
-
Behcet's Syndrome
Apr 1 2016 by Nichole Lewis
Behcet's Syndrome
Photographer: Nichole Lewis - Pennsylvania Retina Specialists, Camp Hill, PA
Condition/keywords: Behcet's Disease, obliterative peripheral vasculitis
-
Retinal Hemangioma
Apr 1 2016 by Nichole Lewis
Retinal hemangioma.
Photographer: Nichole Lewis - Pennsylvania Retina Specialists, Camp Hill, PA
Condition/keywords: retinal hemangioma
-
Chorioretinal Scar
Apr 1 2016 by Nichole Lewis
Chorioretinal scar.
Photographer: Nichole Lewis - Pennsylvania Retina Specialists, Camp Hill, PA
Condition/keywords: chorioretinal scar
-
Treated Retinal Tear
Apr 1 2016 by Nichole Lewis
Treated retinal tear.
Photographer: Nichole Lewis - Pennsylvania Retina Specialists, Camp Hill, PA
Condition/keywords: retinal tear
-
Treated Retinal Tear
Apr 1 2016 by Nichole Lewis
Retinal tear with barrier laser.
Photographer: Nichole Lewis - Pennsylvania Retina Specialists, Camp Hill, PA
Condition/keywords: retinal tear
-
Retinal Detachment
May 9 2016 by Nichole Lewis
Retinal detachment with partial demarcation line and same day barrier laser treatment.
Photographer: Nichole Lewis
-
Ciliary Body Ocular Melanoma
May 9 2016 by Nichole Lewis
Ciliary body ocular melanoma.
Photographer: Nichole Lewis
Condition/keywords: ciliary body melanoma
-
Neovascularization of The Cornea
May 13 2016 by Nichole Lewis
Neovascularization of the Cornea
Photographer: Nichole Lewis
Condition/keywords: cornea, neovascularization (NV)
-
Neovascularization of The Cornea
May 13 2016 by Nichole Lewis
Neovascularization of the Cornea
Photographer: Nichole Lewis
Condition/keywords: cornea, neovascularization (NV)
-
Hyphema
May 13 2016 by Nichole Lewis
Hyphema and anterior chamber air bubble.
Photographer: Nichole Lewis
Condition/keywords: hyphema
-
Choroidal Nevus
May 13 2016 by Nichole Lewis
Choroidal nevus.
Photographer: Nichole Lewis
Condition/keywords: choroidal nevus
-
Retinal Detachment
May 13 2016 by Nichole Lewis
Inferior Retinal Detachment with some demarcation line s/p barrier laser.
Photographer: Nichole Lewis
Condition/keywords: barrier laser
-
Ocular Larva Migrans
May 13 2016 by Nichole Lewis
Ocular Larva Migrans
Photographer: Nichole Lewis
Condition/keywords: Ocular Larva Migrans
-
Serpiginous Choroiditis
Jun 17 2016 by Nichole Lewis
Serpiginous choroiditis.
Photographer: Nichole
Condition/keywords: serpiginous choroiditis
-
Serpiginous Choroiditis
Jun 17 2016 by Nichole Lewis
Serpiginous choroiditis.
Photographer: Nichole Lewis
Condition/keywords: serpiginous choroiditis
-
Serpiginous Choroiditis
Jun 17 2016 by Nichole Lewis
Serpiginous choroiditis.
Photographer: Nichole Lewis
Condition/keywords: serpiginous choroiditis
-
Serpiginous Choroiditis
Jun 17 2016 by Nichole Lewis
Serpiginous choroiditis.
Photographer: Nichole Lewis
Condition/keywords: serpiginous choroiditis
-
Non-Ischemic Central Retinal Vein Occlusion
Jun 28 2016 by Nichole Lewis
53-year-old female with non-ischemic central retinal vein occlusion left eye.
Photographer: Nichole Lewis
Condition/keywords: non-ischemic central retinal vein occlusion (CRVO)
-
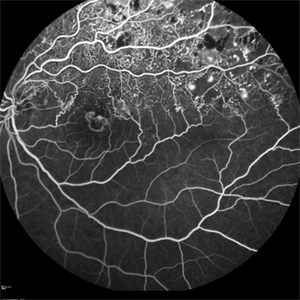
Branch Retinal Vein Occlusion.
Mar 1 2017 by Nichole Lewis
Fluorescein angiogram of a 50-year-old female with a branch retinal vein occlusion.
Photographer: Nichole Lewis
Condition/keywords: branch retinal vein occlusion (BRVO), macular edema
-
Proliferative Diabetic Retinopathy
Mar 3 2017 by Nichole Lewis
61-year-old female with proliferative diabetic retinopathy, neovascularization, microaneurysms, dot blot hemorrhages and capillary nonperfusion.
Photographer: Nichole Lewis
Condition/keywords: microaneurysms, neovascularization elsewhere (NVE), proliferative diabetic retinopathy (PDR)
-
Proliferative Vitreoretinopathy
Mar 3 2017 by Nichole Lewis
62-year-old female s/p retinal detachment repair with proliferative vitreoretinopathy inferior with early star folds.
Photographer: Nichole Lewis
Condition/keywords: proliferative vitreoretinopathy (PVR), retinal fold
-
Epiretinal Membrane
Mar 3 2017 by Nichole Lewis
64-year-old female in a post op period with an epiretinal membrane and folds with a gas bubble. S/P repaired partial retinal detachment with multiple tears.
Photographer: Nichole Lewis
Condition/keywords: choroidal folds, epiretinal membrane (ERM)
-
Diffuse Retinochoroidal Atrophy Most Likely Choroideremia
Mar 3 2017 by Nichole Lewis
66-year-old male with diffuse retinochoroidal atrophy most likely choroideremia.
Photographer: Nichole Lewis
Condition/keywords: choroideremia
-
Serous Pigment Epithelial Detachment
Apr 28 2017 by Nichole Lewis
Serous pigment epithelial detachment.
Photographer: Nichole Lewis
Condition/keywords: exudative age-related macular degeneration, pigment epithelial detachment (PED)
-
Epiretinal Membrane
May 10 2017 by Nichole Lewis
Epiretinal membrane.
Photographer: Nichole Lewis
Condition/keywords: epiretinal membrane (ERM)
-
Macula Off Retinal Detachment with Horseshoe Tear
May 10 2017 by Nichole Lewis
Macula off retinal detachment with horseshoe tear.
Photographer: Nichole Lewis
-
Proliferative Diabetic Retinopathy with Neovascularization
May 10 2017 by Nichole Lewis
Proliferative diabetic retinopathy with neovascularization.
Photographer: Nichole Lewis
Condition/keywords: proliferative diabetic retinopathy (PDR)
-
Iris Melanoma
May 19 2017 by Nichole Lewis
Iris melanoma.
Photographer: Nichole Lewis
Condition/keywords: iris melanoma
-
Epiretinal membrane
May 19 2017 by Nichole Lewis
Epiretinal membrane
Photographer: Nichole Lewis
Condition/keywords: epiretinal membrane (ERM)
-
Focal Opacity
May 19 2017 by Nichole Lewis
Focal opacity.
Photographer: Nichole Lewis
Condition/keywords: focal opacity
-
Salmon Patch Lymphoma
May 31 2017 by Nichole Lewis
Salmon Patch Lymphoma.
Photographer: Nichole Lewis
Condition/keywords: salmon patch lymphoma
-
Proliferative Diabetic Retinopathy
Jul 25 2017 by Nichole Lewis
Proliferative diabetic retinopathy with neovascularization of the disc and a large retinal hemorrhage.
Photographer: Nichole Lewis
Condition/keywords: proliferative diabetic retinopathy (PDR), retinal hemorrhage
-
Proliferative Diabetic Retinopathy
Jul 25 2017 by Nichole Lewis
Proliferative diabetic retinopathy with neovascularization of the disc, hemorrhage and pan-retinal photocoagulation.
Photographer: Nichole Lewis
Condition/keywords: pan-retinal photocoagulation (PRP), proliferative diabetic retinopathy (PDR), retinal hemorrhage
-
Scleral Ectasia With Barrier Laser
Sep 1 2017 by Nichole Lewis
Scleral ectasia with barrier laser.
Photographer: Nichole Lewis
Condition/keywords: scleral ectasia
-
Central Retinal Vein Occlusion
Sep 14 2017 by Nichole Lewis
Central retinal vein occlusion.
Photographer: Nichole Lewis
Condition/keywords: central retinal vein occlusion (CRVO)
-
Central Retinal Vein Occlusion With Cilioretinal Artery Occlusion
Sep 20 2017 by Nichole Lewis
55-year-old man with central retinal vein occlusion with cilioretinal artery occlusion.
Photographer: Nichole Lewis
Condition/keywords: central retinal vein occlusion (CRVO), cilioretinal artery occlusion
-
Hypertensive Retinopathy
Oct 19 2017 by Nichole Lewis
Fundus photography of a 41-year-old male with hypertensive retinopathy, disc edema, cotton wool spots, Subretinal hemorrhage and lipid. BP 136/79.
Photographer: Nichole Lewis
Condition/keywords: cotton wool spots, disc edema, hypertensive retinopathy, lipid, subretinal hemorrhage
-
Hypertensive Retinopathy
Oct 19 2017 by Nichole Lewis
Fundus photography of a 41-year-old male with hypertensive retinopathy, disc edema, cotton wool spots, subretinal hemorrhage and lipid. BP 136/79
Photographer: Nichole Lewis
Condition/keywords: cotton wool spots, disc edema, hypertensive retinopathy, lipid, subretinal hemorrhage
-
Bullous Retinal Detachment
Oct 25 2017 by Nichole Lewis
Bullous Retinal Detachment
Photographer: Nichole Lewis
Condition/keywords: bullous retinal detachment
-
Ischemic Branch Retina Vein Occlusion with Macular Edema
Oct 25 2017 by Nichole Lewis
Ischemic branch retina vein occlusion with macular edema.
Photographer: Nichole Lewis
Condition/keywords: branch retinal vein occlusion (BRVO), ischemia, macular edema
-
Von Hippel-Lindau Syndrome
Nov 20 2017 by Nichole Lewis
44-year-old female with Von-Hippel Lindau Syndrome and worsening retinal angioma.
Photographer: Nichole Lewis
Condition/keywords: retinal angioma, Von Hippel-Lindau
-
Von-Hippel Lindau Syndrome
Nov 20 2017 by Nichole Lewis
44-year-old female with Von-Hippel Lindau Syndrome and worsening retinal angioma.
Photographer: Nichole
Condition/keywords: retinal angioma, Von Hippel-Lindau
-
Repaired Retinal Macroaneurysm
Nov 20 2017 by Nichole Lewis
Repaired retinal macroaneurysm with focal laser.
Photographer: Nichole Lewis
Condition/keywords: focal laser, retinal macroaneurysm
-
Proliferative Diabetic Retinopathy
Dec 18 2017 by Nichole Lewis
Proliferative diabetic retinopathy.
Photographer: Nichole Lewis
Condition/keywords: proliferative diabetic retinopathy (PDR)
-
Retinal Detachment with Large Atrophic Holes
Dec 18 2017 by Nichole Lewis
Retinal detachment with large atrophic holes.
Photographer: Nichole Lewis
Condition/keywords: atrophic retinal hole
-
Retinal Detachment
-
Large Subretinal Hemorrhage With a Gas Bubble
Dec 18 2017 by Nichole Lewis
1 week s/p vitrectomy of a large subretinal hemorrhage with a gas bubble.
Photographer: Nichole Lewis
Condition/keywords: subretinal hemorrhage
-
Vitreous Floater
Dec 18 2017 by Nichole Lewis
Large vitreous floater.
Photographer: Nichole Lewis
Condition/keywords: vitreous floaters
-
Corneal Implant INTACS
Dec 18 2017 by Nichole Lewis
Corneal implant INTACS.
Photographer: Nichole Lewis
Condition/keywords: corneal implant
-
Proliferative Diabetic Retinopathy With Neovascularization of the Disc
Dec 18 2017 by Nichole Lewis
Proliferative diabetic retinopathy with neovascularization of the disc.
Photographer: Nichole Lewis
Condition/keywords: proliferative diabetic retinopathy (PDR)
-
Retinitis Pigmentosa
Dec 18 2017 by Nichole Lewis
Retinitis pigmentosa.
Photographer: Nichole Lewis
Condition/keywords: retinitis pigmentosa
-
Choroidal Hemorrhage, Subretinal Hemorrhage
Dec 18 2017 by Nichole Lewis
Choroidal hemorrhage, Subretinal Hemorrhage, wet macular degeneration,
Photographer: Nichole Lewis
Condition/keywords: choroidal hemorrhage, choroidal neovascularization (CNV), exudative age-related macular degeneration, subretinal hemorrhage, wet age-related macular degeneration (wet AMD)
-
Severe Non-proliferative Diabetic Retinopathy
Jan 12 2018 by Nichole Lewis
Severe nonproliferative diabetic retinopathy.
Photographer: Nichole Lewis
Condition/keywords: diabetic macular edema, hypertensive retinopathy, nonproliferative diabetic retinopathy
-
Macular Hole
Feb 22 2018 by Nichole Lewis
Macular Hole
Photographer: Nichole Lewis
Condition/keywords: macular hole
-
Sickle Cell Anemia
Feb 22 2018 by Nichole Lewis
Sickle Cell Anemia
Photographer: Nichole Lewis
Condition/keywords: sickle cell
-
Endophthalmitis
Feb 22 2018 by Nichole Lewis
Endophthalmitis
Photographer: Nichole Lewis
Condition/keywords: endophthalmitis, hypopyon
-
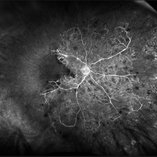
Retinal Capillary Hemangioblastomas
Feb 22 2018 by Nichole Lewis
Montage of Retinal Capillary Hemangioblastomas
Photographer: Nichole Lewis
Condition/keywords: angioma, retinal capillary hemangioblastoma
-
Retinal Capillary Hemangioblastomas
Feb 22 2018 by Nichole Lewis
Retinal Capillary Hemangioblastomas
Photographer: Nichole Lewis
Condition/keywords: angioma, retinal capillary hemangioblastoma
-
Reticular Drusen, Doyne's Honeycomb Retinal Dystrophy, Malattia Leventinese, Familial Dominant Drusen
Feb 22 2018 by Nichole Lewis
Reticular Drusen, Doyne's Honeycomb Retinal Dystrophy, Malattia Leventinese, Familial Dominant Drusen
Photographer: Nichole Lewis
Condition/keywords: Doyne's Honeycomb, Familial Dominant Drusen, Malattia Leventinese, reticular drusen
-
Reticular Drusen, Doyne's Honeycomb Retinal Dystrophy, Malattia Leventinese, Familial Dominant Drusen
Feb 22 2018 by Nichole Lewis
Reticular Drusen, Doyne's Honeycomb Retinal Dystrophy, Malattia Leventinese, Familial Dominant Drusen
Photographer: Nichole Lewis
Condition/keywords: Doyne's Honeycomb, Familial Dominant Drusen, Malattia Leventinese, reticular drusen
-
Retinal Holes
Mar 27 2018 by Nichole Lewis
Retinal holes.
Photographer: Nichole Lewis
Condition/keywords: retinal hole
-
Commotio Retinae with Hemorrhage
Mar 27 2018 by Nichole Lewis
Commotio Retinae with hemorrhage.
Photographer: Nichole Lewis
Condition/keywords: commotio retinae, retinal hemorrhage
-
Branch Retinal Artery Occlusion
Mar 27 2018 by Nichole Lewis
Branch retinal artery occlusion with a Hollenhorst Plaque.
Photographer: Nichole Lewis
Condition/keywords: branch retinal artery occlusion (BRAO), hollenhorst plaque
-
Branch Retinal Artery Occlusion
Mar 27 2018 by Nichole Lewis
Branch retinal artery occlusion with a Hollenhorst Plaque.
Photographer: Nichole Lewis
Condition/keywords: branch retinal artery occlusion (BRAO), hollenhorst plaque
-
Commotio Retinae with Retinal Hemorrhages
Mar 27 2018 by Nichole Lewis
14-year-old male hit in the right eye with a stick. Commotio Retinae with retinal hemorrhages and peripapillary hemorrhage.
Photographer: Nichole Lewis
Condition/keywords: commotio retinae, peripapillary hemorrhage, retinal hemorrhage
-
Vitreous Bubble
Apr 10 2018 by Nichole Lewis
Exudative age related macular degeneration, posterior vitreous detachment and a vitreous bubble through an intraocular lens with a partial view of the haptic arm.
Photographer: Nichole Lewis
Condition/keywords: exudative age-related macular degeneration, posterior vitreous detachment
-
Wet Age-Related Macular Degeneration with Angioid Streaks and Pseudoxanthoma Elasticum
Apr 27 2018 by Nichole Lewis
Wet age-related macular degeneration with angioid streaks and pseudoxanthoma elasticum.
Photographer: Nichole Lewis
Condition/keywords: angioid streaks, pseudoxanthoma elasticum (PXE), wet age-related macular degeneration (wet AMD)
-
Serous Pigment Epithelial Detachment With Suspected Polypoidal Choroidal Vasculopathy
Apr 27 2018 by Nichole Lewis
70-year-old Asian male with gradual blurred vision x 6 months with a serous PED and suspected polypoidal choroidal vasculopathy.
Photographer: Nichole Lewis
Condition/keywords: polypoidal choroidal vasculopathy (PCV), serous pigment epithelial detachment
-
Treated Branch Retinal Vein Occlusion
May 3 2018 by Nichole Lewis
Treated branch retinal vein occlusion.
Photographer: Nichole Lewis
Condition/keywords: branch retinal vein occlusion (BRVO), laser photocoagulation
-
Chorioretinal Scars with Subretinal Fibrosis and an old Retinal Detachment
May 3 2018 by Nichole Lewis
Chorioretinal scars with subretinal fibrosis and an old retinal detachment.
Photographer: Nichole Lewis
Condition/keywords: chorioretinal scar, chronic retinal detachment, subretinal fibrosis
-
Chronic Retinal Detachment
May 3 2018 by Nichole Lewis
Chronic retinal detachment.
Photographer: Nichole Lewis
Condition/keywords: chronic retinal detachment
-
Hypertensive Retinopathy with Lipid
May 3 2018 by Nichole Lewis
Hypertensive retinopathy with lipid.
Photographer: Nichole Lewis
Condition/keywords: hypertensive retinopathy, lipid exudation
-
Myelinated Nerve Fiber Layer
May 3 2018 by Nichole Lewis
Myelinated nerve fiber layer.
Photographer: Nichole Lewis
Condition/keywords: myelinated nerve fiber layer
-
Presumed Ocular Histoplasmosis Syndrome
May 3 2018 by Nichole Lewis
39-year-old female with presumed ocular histoplasmosis syndrome. Patient presented with vision of 20/200 in 10/2014. Vision CF @ 1 ft on 7/2015. Right eye vision is 20/20.
Photographer: Nichole Lewis
Condition/keywords: ocular histoplasmosis syndrome (OHS), presumed ocular histoplasmosis syndrome (POHS)
-
Retinal Capillary Hemangioblastoma
May 3 2018 by Nichole Lewis
Retinal capillary hemangioblastoma with lipid surrounding.
Photographer: Nichole Lewis
Condition/keywords: lipid exudation, retinal capillary hemangioblastoma
-
Von Hippel-Lindau
May 3 2018 by Nichole Lewis
Von Hippel-Lindau
Photographer: Nichole Lewis
Condition/keywords: Von Hippel-Lindau
-
Multiple Best Disease
May 9 2018 by Nichole Lewis
31-year-old male with multifocal Best Disease, vitelliform lesions and subretinal fluid.
Photographer: Nichole Lewis
Condition/keywords: Best disease, subretinal fluid, vitelliform lesion
-
Multifocal Best Disease
May 9 2018 by Nichole Lewis
31-year-old male with multifocal Best Disease, vitelliform lesions and subretinal fluid.
Photographer: Nichole Lewis
Condition/keywords: Best disease, subretinal fluid, vitelliform lesion
-
Retinal Detachment With a Chronic Appearing Operculated Tear
Jun 21 2018 by Nichole Lewis
73-year-old male with a macula-on retinal detachment with a chronic appearing operculated tear. VA 20/30.
Photographer: Nichole Lewis
Condition/keywords: operculated tear
-
Proliferative Diabetic Retinopathy with Neovascular Glaucoma
Jul 12 2018 by Nichole Lewis
68-year-old male with proliferative diabetic retinopathy, severe capillary nonperfusion and neovascular glaucoma. Treated with Avastin intra-ocular injection and future pan-retinal photocoagulation. VA 20/300.
Photographer: Nichole Lewis
Condition/keywords: capillary nonperfusion, diabetes, neovascular glaucoma, non-perfusion, proliferative diabetic retinopathy (PDR)
-
Proliferative Diabetic Retinopathy
Jul 12 2018 by Nichole Lewis
68-year-old male with proliferative diabetic retinopathy and capillary nonperfusion. Returning for pan retinal photocoagulation. VA 20/25
Photographer: Nichole Lewis
Condition/keywords: capillary nonperfusion, diabetes, non-perfusion, pan-retinal photocoagulation (PRP), proliferative diabetic retinopathy (PDR)
-
Choroidal Melanoma With a Serous Retinal Detachment
Aug 23 2018 by Nichole Lewis
63-year-old male with a large choroidal melanoma and a serous macula off retinal detachment. Vision is count fingers.
Photographer: Nichole Lewis
Condition/keywords: serous retinal detachment
-
Cotton Wool Spots
Aug 23 2018 by Nichole Lewis
Cotton Wool Spots
Photographer: Nichole Lewis
Condition/keywords: cotton wool spots
-
Dry Age-Related Macular Degeneration
Aug 23 2018 by Nichole Lewis
Dry age-related macular degeneration
Photographer: Nichole Lewis
Condition/keywords: age-related macular degeneration (AMD), dry age-related macular degeneration (dry AMD)
-
Hemorrhagic Choroidals, Choroidal Nevascularization, Subretinal Hemorrhage
Aug 23 2018 by Nichole Lewis
86-year-old female with hemorrhagic choroidals, choroidal neovascularization and a large subretinal hemorrhage. Vision 20/CF. Treated with intraocular injections.
Photographer: Nichole Lewis
Condition/keywords: choroidal neovascularization (CNV), hemorrhagic choroidal detachment, subretinal hemorrhage
-
Retinal Detachment Through a Dilated Pupil
-
Progressive Outer Retinal Necrosis
Nov 30 2018 by Nichole Lewis
Fluorescein angiogram of an 86-year-old male with progressive outer retinal necrosis and chronic cystoid macular edema. This patient has occlusive vasculitis with non-perfusion, significant retinitis, retinal whitening and intra-retinal hemorrhages. Patient is immunosupressed with a history of kidney transplantation. VA 20/60. Patient was treated with intravitreal foscarnet and admitted to the hospital for an infectious disease and transplant team consultation.
Photographer: Nichole Lewis
Condition/keywords: cystoid macular edema (CME), intraretinal hemorrhage, non-perfusion, occlusive vasculitis, progressive outer retinal necrosis (PORN), retinal whitening, retinitis
-
Progressive Outer Retinal Necrosis
Nov 30 2018 by Nichole Lewis
Fluorescein angiogram of an 86-year-old male with progressive outer retinal necrosis and chronic cystoid macular edema. This patient has occlusive vasculitis with non-perfusion, significant retinitis, retinal whitening and intra-retinal hemorrhages. Patient is immunosupressed with a history of kidney transplantation. VA 20/60. Patient was treated with intravitreal foscarnet and admitted to the hospital for an infectious disease and transplant team consultation.
Photographer: Nichole Lewis
Condition/keywords: cystoid macular edema (CME), intragel hemorrhage, non-perfusion, occlusive vasculitis, progressive outer retinal necrosis (PORN), retinal whitening, retinitis
-
Ischemic Central Retinal Vein Occlusion
Jan 24 2019 by Nichole Lewis
76-year-old woman with an ischemic central retinal vein occlusion, severely attenuated and sclerotic vessels and scattered retinal hemorrhages. Vision decrease over 1 year. VA 20/CF. Patient is returning for pan retinal photocoagulation.
Photographer: Nichole Lewis
Imaging device: Optos
Condition/keywords: attenuated vessels, central retinal vein occlusion (CRVO), hemorrhage, ischemic CRVO, sclerotic vessels
-
Chronic Central Serous Chorioretinopathy
Mar 29 2019 by Nichole Lewis
54-year-old male with chronic central serous retinopathy with focal sub-retinal fluid and widespread retinal pigment epithelium changes. History of micropulse laser. Patient is HLA-B27 positive with quiescent iritis. VA 20/20.
Photographer: Nichole Lewis
Imaging device: Optos
Condition/keywords: central serous retinopathy (CSR), retinal pigment epithelium (RPE) changes, subretinal fluid
-
Ruptured Macroaneurysm
May 22 2019 by Nichole Lewis
FA of a 91-year-old woman with a ruptured macroaneurysm, intraretinal hemorrhage and subretinal hemorrhage. VA 20/400.
Photographer: Nichole Lewis
Condition/keywords: intraretinal hemorrhage, ruptured macroaneurysm, subretinal hemorrhage
-
Tractional Retinal Detachment
Jun 27 2019 by Nichole Lewis
69-year-old female with an epiretinal membrane and tractional retinal detachment. VA 20/400.
Photographer: Nichole Lewis
Imaging device: Optos
Condition/keywords: epiretinal membrane (ERM), fibrosis, retinoschisis, tractional retinal detachment
-
Branch Retinal Vein Occlusion with Acute on Chronic Subhyaloid Hemorrhage
Oct 24 2019 by Nichole Lewis
60-year-old male with a branch retinal vein occlusion and subhyaloid hemorrhage and retinal neovascularization. VA HM.
Photographer: Nichole Lewis
Condition/keywords: branch retinal vein occlusion (BRVO), retinal neovascularization, subhyaloid hemorrhage
-
Branch Retinal Vein Occlusion with Acute on Chronic Subhyaloid Hemorrhage
Oct 24 2019 by Nichole Lewis
60-year-old male with a branch retinal vein occlusion and subhyaloid hemorrhage and retinal neovascularization. VA HM.
Photographer: Nichole
Condition/keywords: branch retinal vein occlusion (BRVO), capillary nonperfusion, retinal neovascularization, subhyaloid hemorrhage
-
Central Serous Retinopathy with Smokestack
Nov 5 2019 by Nichole Lewis
40-year-old male with central serous retinopathy with smokestack.
Photographer: Nichole Lewis
Imaging device: Optos
Condition/keywords: central serous retinopathy (CSR), smokestack
-
Progressive Outer Retinal Necrosis
Nov 5 2019 by Nichole Lewis
86-year-old male with progressive outer retinal necrosis, significant retinitis, retinal whitening, intraretinal hemorrhages and peripheral rpe changes. FA showed occlusive vasculitis with non-perfusion. Patient is immuno-suppressed with a history of renal transplant. VA 20/60.
Photographer: Nichole Lewis
Imaging device: Optos
Condition/keywords: intraretinal hemorrhage, occlusive vasculitis, progressive outer retinal necrosis (PORN), retinal pigment epithelium (RPE) changes, retinal whitening, retinitis
-
High Myopia with Cobblestone Degeneration
Nov 5 2019 by Nichole Lewis
50-year-old female with high myopia, diffuse myopic thinning and cobblestone degeneration.
Photographer: Nichole Lewis
Imaging device: Optos
Condition/keywords: high myopia, myopia, paving stone degeneration
-
Blunt Ocular Trauma with Commotio Retinae
Nov 5 2019 by Nichole Lewis
11-year-old male with blunt ocular trauma from a soccer ball. Commotio Retinae, retinal hemorrhages, vitreous hemorrhage, multiple retinal tears and a traumatic macular hole. VA 20/70.
Photographer: Nichole Lewis
Imaging device: Optos
Condition/keywords: blunt trauma, commotio retinae, retinal hemorrhage, retinal tear, traumatic macular hole, vitreous hemorrhage
-
Tractional Retinal Detachment with an Epiretinal Membrane
Nov 5 2019 by Nichole Lewis
69-year-old female with a tractional retinal detachment, mutiple tears and epiretinal membrane. VA 20/400
Photographer: Nichole Lewis
Imaging device: Optos
Condition/keywords: epiretinal membrane (ERM), retinal tear, tractional retinal detachment
-
Exudative Age-Related Macular Degeneration
Nov 5 2019 by Nichole Lewis
84-year-old female with exudative macular degeneration, subretinal hemorrhage and subretinal fluid.
Photographer: NIchole Lewis
Imaging device: Optos
Condition/keywords: exudative age-related macular degeneration, subretinal fluid, subretinal hemorrhage, wet age-related macular degeneration (wet AMD)
-
Choroidal Detachment with a Retinal Detachment
Nov 5 2019 by Nichole Lewis
Choroidal detachment nasal and temporal with a retinal detachment from 12:00-3:00.
Photographer: Nichole Lewis
Imaging device: Optos
Condition/keywords: choroidal detachment
-
Operculated Hole with Barrier Laser
Nov 5 2019 by Nichole Lewis
66-year-old female with an operculated retinal hole s/p barrier laser treatment. Choroidal Nevus Inferior.
Photographer: Nichole Lewis
Imaging device: Optos
Condition/keywords: barrier laser, choroidal nevus, operculated retinal hole, operculated tear
-
Vitelliform Lesion
Nov 6 2020 by Nichole Lewis
Vitelliform lesion.
Photographer: Nichole Lewis
Condition/keywords: vitelliform lesion
-
Vitelliform Lesion with Macular Hole
Nov 6 2020 by Nichole Lewis
Vitelliform lesion with macular hole.
Photographer: Nichole Lewis
Condition/keywords: macular hole, vitelliform lesion
-
Branch Retinal Vein Occlusion
Nov 13 2020 by Nichole Lewis
77-year-old woman with a superior branch retinal vein occlusion.
Photographer: Nichole Lewis
Imaging device: Heidelberg Spectralis
Condition/keywords: branch retinal vein occlusion (BRVO)
-
Investigational Drug Delivery System
Nov 25 2020 by Nichole Lewis
External image of a surgically implanted investigational drug delivery system.
Photographer: Nichole Lewis
Condition/keywords: investigational drug delivery system
