-
By Nichole Lewis
Retinal Consultants of Sacramento - Uploaded on May 3, 2018.
- Last modified by Caroline Bozell on May 3, 2018.
- Rating
- Appears in
- Retinal Images
- Condition/keywords
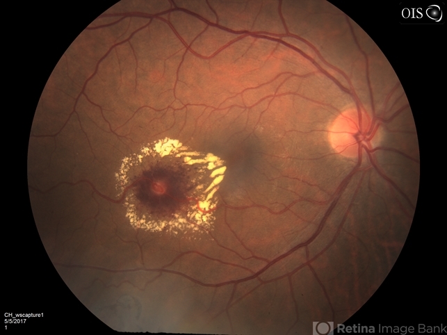
- retinal capillary hemangioblastoma, lipid exudation
- Photographer
- Nichole Lewis
- Imaging device
- Fundus camera
- Description
- Retinal capillary hemangioblastoma with lipid surrounding.

Initializing download.