-
By Nichole Lewis
Retinal Consultants of Sacramento - Uploaded on Nov 5, 2019.
- Last modified by Caroline Bozell on Nov 5, 2019.
- Rating
- Appears in
- Retinal Images
- Condition/keywords
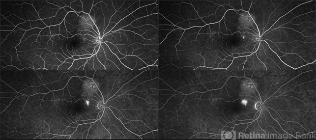
- central serous retinopathy (CSR), smokestack
- Photographer
- Nichole Lewis
- Imaging device
- Optos
- Description
- 40-year-old male with central serous retinopathy with smokestack.

Initializing download.