
File number: 27067
Comments
-
James B. Soque, CRA, OCT-C, COA, FOPS (May 17 2017)
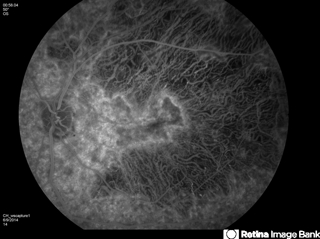
The balance of illumination and detail of this late fluorescein angiogram photograph speaks for itself. Superb imaging Ms. Lewis!
Sign in to comment.
-
By Nichole Lewis
Retinal Consultants of Sacramento - Uploaded on Mar 3, 2017.
- Last modified by Caroline Bozell on Jun 6, 2017.
- Rating
- Appears in
- Retinal Images
- Condition/keywords
- choroideremia
- Photographer
- Nichole Lewis
- Imaging device
- Fundus camera
- Description
- 66-year-old male with diffuse retinochoroidal atrophy most likely choroideremia.