-
By Nichole Lewis
Retinal Consultants of Sacramento - Uploaded on Nov 13, 2020.
- Last modified by Caroline Bozell on Nov 17, 2020.
- Rating
- Appears in
- Retinal Images
- Condition/keywords
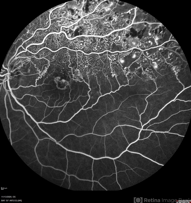
- branch retinal vein occlusion (BRVO)
- Photographer
- Nichole Lewis
- Imaging device
-
Fundus camera
Heidelberg Spectralis - Description
- 77-year-old woman with a superior branch retinal vein occlusion.

Initializing download.