-
By J. Sebag, MD, FACS, FRCOphth, FARVO
VMR Institute for Vitreous Macula Retina - Uploaded on Sep 3, 2020.
- Last modified by Caroline Bozell on Sep 3, 2020.
- Rating
- Appears in
- Vitreous
- Condition/keywords
- vitreoschisis
- Description
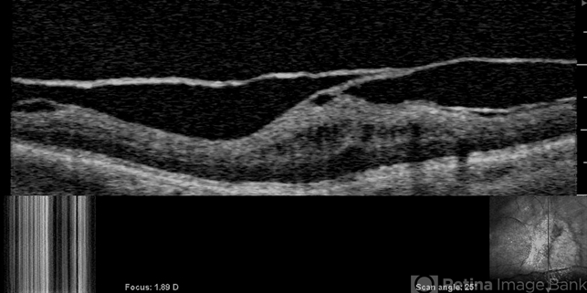
- OCT of the left eye in a patient with macular pucker (see SLO image below to right) demonstrates splitting of the posterior vitreous cortex in two separate places. Tangential traction caused thickening of the underlying macula. [For histopathology see: Gupta P, Yee KMP, Garcia P, Rosen RB, Parikh J, Hageman GS, Sadun AA, Sebag J: Vitreoschisis in macular diseases. Brit J Ophthalmol 2011;95(3):376-80]

Initializing download.