-
By Lancaster Course in Ophthalmology
1980 - Uploaded on Feb 26, 2019.
- Last modified by Caroline Bozell on Mar 8, 2019.
- Rating
- Appears in
- Unit 10 Pathology of the Crystalline Lens
- Condition/keywords
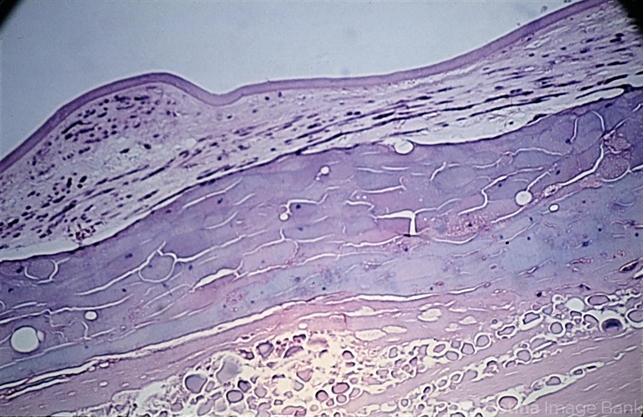
- anterior subcapsular polar cataract, Morgagni's cataract
- Description
- Anterior subcapsular cataract associated with morgagnian degeneration of the underlying cortex ( x 40). (Scheie Eye Institute, No. 4076.)

Initializing download.