-
By Lancaster Course in Ophthalmology
1980 - Uploaded on Feb 26, 2019.
- Last modified by Caroline Bozell on Mar 8, 2019.
- Rating
- Appears in
- Unit 10 Pathology of the Crystalline Lens
- Condition/keywords
- cataract
- Description
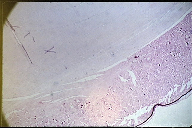
- Senile cataract (PAS x 16). Section shows liquefaction of the cortex under a deeply staining posterior capsule and a dense, lighter staining nuclear sclerosis. (Scheie Eye Institute, No. 4042.)

Initializing download.