-
By Lancaster Course in Ophthalmology
1980 - Uploaded on Feb 26, 2019.
- Last modified by Caroline Bozell on Mar 8, 2019.
- Rating
- Appears in
- Unit 10 Pathology of the Crystalline Lens
- Condition/keywords
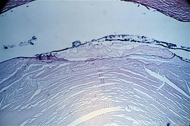
- anterior subcapsular polar cataract
- Description
- Anterior subcapsular cataract. Plaque of tissue beneath the anterior capsule replacing epithelium (PAS x21).

Initializing download.