-
By Lancaster Course in Ophthalmology
1980 - Uploaded on Feb 26, 2019.
- Last modified by Caroline Bozell on Mar 8, 2019.
- Rating
- Appears in
- Unit 10 Pathology of the Crystalline Lens
- Condition/keywords
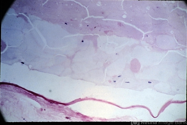
- posterior subcapsular cataract
- Description
- Posterior subcapsular cataract. Histologic section through the posterior pole of the lens, showing large bladder cells (x40). (Scheie Eye Institute, No. 34042.)

Initializing download.