- 
            
             By César Adrián Gómez Valdivia, MD By César Adrián Gómez Valdivia, MD
 Fundación Hospital Nuestra Señora de la Luz IAP
 Co-author(s): @eyemissu2
- Uploaded on Aug 12, 2025.
- Last modified by Joshua Friedman on Aug 13, 2025.
- Rating
- Appears in
- Miscellaneous
- Condition/keywords
- amelanotic melanoma
- Photographer
- @eyemissu2
- Imaging device
- 
                Fundus camera
                
 TOPCON TRC-50DX
- Description
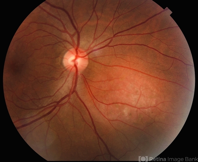
- This case highlights an amelanotic melanoma, an atypical presentation of a choroidal melanoma lacking the characteristic pigmentation. These lesions can easily be mistaken for choroidal hemangiomas, metastases, or inflammatory masses. Clinically, the lesion appears as a dome-shaped, yellowish subretinal mass, often associated with subretinal fluid, lipofuscin deposition, or retinal detachment. The absence of pigment can delay diagnosis, making multimodal imaging essential. Diagnostic tools: • B-scan ultrasound: low to medium internal reflectivity • OCT: overlying subretinal fluid and RPE elevation • FAF: orange pigment and RPE disruption • ICG/FA: variable, often hypofluorescent core Important: Prompt referral to ocular oncology is critical for management and prognosis.

 
        
 Initializing download.
                Initializing download. 
             
             
             
             
             
             
             
             
             
            