-
Retinal Aretriovenous Malformation
May 15 2014 by Mitzy E Torres Soriano, MD
Fundus photograph of a rare case of 18-year-old male with history of drug abuse. Visual acuity: hand motion. Specific diagnosis is unknown.
Photographer: Mitzy Torres Soriano. Hospital Central de Maracay. Venezuela
Imaging device: Zeiss, Inc
Condition/keywords: drug abuse, retinal arteriovenous malformations, vasculopathy
-
Choroidal Melanoma
May 15 2014 by Mitzy E Torres Soriano, MD
Fundus photograph of a 55-year-old male with pigmented, elevated lesion involving optic nerve. with exudation, hemorrhage and subretinal fluid.
Photographer: Mitzy E Torres Soriano, Centro Medico Cagua, Venezuela
Imaging device: Retinal camera TRC-NW8, TOPCON
Condition/keywords: choroidal nevus, pigmented lesion
-
Leptospirosis Neuroretinitis
May 30 2014 by Mitzy E Torres Soriano, MD
50-year-old man, presented with sudden onset of reduced vision in the left eye. Visual acuity (VA) was count fingers. Fundoscopic examination revealed soft exudation adjacent the optic nerve, macular edema with hard exudates in star shape arrangement and retinal vasculitis. OCT confirmed macular edema. There were no systemic symptoms. History of alcoholism and crack cocaine addiction. Systemic work up revealed a positive leptospira. He was treated with oral doxycicline (100mg twice daily) and prednisona (1mg/kg with gradual taper) for two weeks. Follow up at six months showed an improvement of VA to 20/60 with partial resolution of clinical findings at fundoscopic exam. Leptospirosis should be ruled out in every case of neuroretinitis.
Photographer: Mitzy E. Torres Soriano, MD; Centro medico Cagua-Estado Aragua. Venezuela
Imaging device: Retinal Camera TRC-NW8, TOPCON
Condition/keywords: leptospirosis, macular star, neuroretinitis, retinal vasculitis
-
Valsalva Retinopathy
May 30 2014 by Mitzy E Torres Soriano, MD
A 45-year-old woman presented sudden loss of vision (hand motion) in the right eye. Fundus examination revealed multiple deep retinal hemorrhages and a large pre macular subhyaloid hemorrhage. Spontaneous resorption occurred at one month and visual acuity improved to 20/25.
Photographer: Mitzy E Torres Soriano. Hospital Central de Maracay. Venezuela
Condition/keywords: macular hemorrhage, subhyaloid hemorrhage, valsalva retinopathy
-
Macular Fold Following Retinal Detachment Surgery
May 30 2014 by Mitzy E Torres Soriano, MD
Fundus photograph of a 38-years old man with macular fold following retinal detachment surgery.
Photographer: Ricardo Montoya. Asociación para evitar la Ceguera. México.
Condition/keywords: macular fold, post-op, retinal fold
-
Active Neovascular AMD With Disciform Scar
Apr 30 2015 by Mitzy E Torres Soriano, MD
Active neovascular AMD with disciform scar.
Photographer: Mitzy E. Torres Soriano, MD; Centro medico Cagua-Estado Aragua. Venezuela
Imaging device: TOPCON
Condition/keywords: disciform scar, disciform with hemorrhage, neovascular age-related macular degeneration (AMD), wet age-related macular degeneration (wet AMD)
-
Geographic Atrophy
Apr 30 2015 by Mitzy E Torres Soriano, MD
Geographic Atrophy (AMD).
Photographer: Mitzy E. Torres Soriano
Imaging device: TOPCON
Condition/keywords: age-related macular degeneration (AMD), dry age-related macular degeneration (dry AMD), geographic atrophy
-
Fundus autofluorescence of geographic atrophy
Apr 30 2015 by Mitzy E Torres Soriano, MD
Fundus autofluorescence of geographic atrophy (AMD).
Photographer: Mitzy E. Torres Soriano, MD; Centro medico Cagua-Estado Aragua. Venezuela
Imaging device: TOPCON
Condition/keywords: dry age-related macular degeneration (dry AMD), fundus autofluorescence (FAF), geographic atrophy
-
Retinal Detachment With Subretinal Cords
Apr 30 2015 by Mitzy E Torres Soriano, MD
Retinal detachment with sub retinal cords.
Photographer: Mitzy E. Torres Soriano, MD; Centro medico Cagua-Estado Aragua. Venezuela
Imaging device: TOPCON
Condition/keywords: proliferative vitreoretinopathy (PVR), subretinal cords
-
Severe Proliferative Diabetic Retinopathy
Apr 30 2015 by Mitzy E Torres Soriano, MD
Severe proliferative diabetic retinopathy (left eye).
Photographer: Mitzy E. Torres Soriano, MD; Centro medico Cagua-Estado Aragua. Venezuela
Imaging device: TRC-NW8
Condition/keywords: diabetic retinopathy, proliferative diabetic retinopathy (PDR)
-
Retinitis Pigmentosa
Apr 30 2015 by Mitzy E Torres Soriano, MD
Fundus of patient with retinitis pigments, bone spicule-shaped pigment deposits are present with retinal atrophy, while the macula is preserved . Retinal vessels are attenuated.
Photographer: Mitzy E. Torres Soriano, MD; Centro medico Cagua-Estado Aragua. Venezuela
Imaging device: TRC-NW8
Condition/keywords: pigmentary retinal dystrophy, retinal dystrophy, retinitis pigmentosa, retinitis pigmentosa (RP) dystrophy
-
Retinal Arteriovenous Malformation
Aug 18 2015 by Mitzy E Torres Soriano, MD
Retinal arteriovenous malformation.
Photographer: Naty C. Torres Soriano. (This is a nasal view of the Left Eye Retina)
Condition/keywords: retinal arteriovenous malformations
-
Secondary Telangiectasia
Aug 18 2015 by Mitzy E Torres Soriano, MD
Macular telangiectasia secondary to branch retinal vein occlusion.
Photographer: Mitzy E. Torres Soriano
Condition/keywords: branch retinal vein occlusion (BRVO), retinal telangiectasia
-
Pancytopenia
Mar 24 2016 by Mitzy E Torres Soriano, MD
Fundus photographs of a 35-year-old woman with pancytopenia.
Photographer: Mitzy E. Torres Soriano, Hospital Central de Maracay, Venezuela
Condition/keywords: pancytopenia, retinal hemorrhage
-
Central Serous Chorioretinopathy Associated With Steroids
Jul 31 2016 by Mitzy E Torres Soriano, MD
FA (late phase) of bilateral central serous chorioretinopathy associated with steroids.
Photographer: Mitzy E. Torres Soriano. Centro de la Visión Gordon-Manavella. Rosario, Argentina
Imaging device: TOPCON
Condition/keywords: bilateral chronic central serous retinopathy, central serous retinopathy (CSR)
-
Optic Disc Drusen
Jul 31 2016 by Mitzy E Torres Soriano, MD
Optic Disc Drusen (Right eye)
Photographer: Mitzy E. Torres Soriano. Retina Department. Hospital Provincial del Centenario. Rosario, Argentina
Imaging device: TOPCON
Condition/keywords: optic disc drusen, optic nerve drusen
-
SLE Retinopathy
Nov 14 2016 by Mitzy E Torres Soriano, MD
25-year-old female patient with systemic lupus erythematosus. Photographs show cotton wool spots, intraretinal hemorrhages and vascular tortuosity. FA demonstrated retinal vasculitis and OCT revealed cystoid macular edema. In this case diagnosis of SLE was made after ocular manifestation.
Photographer: Grupo Laser Vision, Rosario, Argentina
Condition/keywords: cotton wool spots, occlusive retinal vasculitis, occlusive vasculitis, systemic lupus erythematosus, vasculopathy
-
Hypertensive Retinopathy
May 6 2017 by Mitzy E Torres Soriano, MD
Hypertensive retinopathy associated with malignant hypertension in a female patient with scleroderma.
Photographer: Mitzy Torres Soriano
Condition/keywords: hypertension, hypertensive retinopathy
-
Preretinal Hemorrhage
May 6 2017 by Mitzy E Torres Soriano, MD
Fundus photograph of a 36-year-old-woman with a preretinal subhyaloid hemorrhage (valsalva retinopathy).
Photographer: Mitzy Torres Soriano
Condition/keywords: macular hemorrhage, premacular hemorrhage, preretinal hemorrhage, subhyaloid hemorrhage, valsalva retinopathy
-
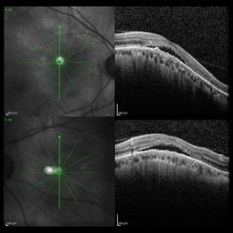
Foveal Detachment in Dome-Shaped Macula
May 6 2017 by Mitzy E Torres Soriano, MD
Vertical scans of optical coherence tomography showing a foveal detachment at the top of dome-shaped macula in a 48-year-old female with high myopia.
Photographer: Mitzy E. Torres Soriano
Condition/keywords: detachment, high myopia, macula
-
Myelinated Nerve Fiber Layer
Aug 19 2017 by Mitzy E Torres Soriano, MD
Myelinated Nerve Fiber Layer (Right eye)
Photographer: Mitzy E. Torres Soriano
Condition/keywords: myelinated nerve fiber layer, myelinated nerve fibers
-
Morning Glory Disc Anomaly
Aug 19 2017 by Mitzy E Torres Soriano, MD
A 10-year-old female patient with morning glory disc anomaly in her left eye.
Photographer: Mitzy E. Torres Soriano
Condition/keywords: coloboma of optic disc, coloboma of the optic nerve, Morning Glory Syndrome, optic disc, optic disc dysplasia
-
Proliferative Diabetic Retinopathy
Feb 26 2018 by Mitzy E Torres Soriano, MD
Proliferative diabetic retinopathy.
Photographer: Mitzy Torres Soriano
Condition/keywords: diabetes, proliferative diabetic retinopathy (PDR)
-
Myelinated Nerve Fiber Layer
Apr 3 2018 by Mitzy E Torres Soriano, MD
Myelinated nerve fiber layer, left eye.
Photographer: Mitzy Torres Soriano
Condition/keywords: myelinated nerve fiber layer, myelinated nerve fibers
-
Best Disease
May 1 2018 by Mitzy E Torres Soriano, MD
Fundus photographs of an 5-year-old boy with best vitelliform macular dystrophy and family history.
Photographer: Luciana García,MD
Condition/keywords: Best disease, vitelliform macular dystrophy
-
High Myopia
Jun 14 2018 by Mitzy E Torres Soriano, MD
Fundus photograph (left eye) of a female patient with high myopia, chorioretinal atrophy, pigmentary changes and posterior staphyloma.
Photographer: Mitzy Torres Soriano
Condition/keywords: chorioretinal atrophy, high myopia, posterior staphyloma
-
Central Serous Retinopathy-OCT
Jun 14 2018 by Mitzy E Torres Soriano, MD
62-year-old male patient with chronic central serous chorioretinopathy in his right eye. OCT shows serous neurosensory retinal detachment and retinal pigment epithelial detachment.
Condition/keywords: central serous chorioretinopathy (CSCR), central serous retinopathy (CSR), optical coherence tomography (OCT), pigment epithelial detachment (PED), serous retinal detachment
-
Central Serous Retinopathy
Jun 20 2018 by Mitzy E Torres Soriano, MD
Central serous chorioretinopathy. Fundus photograph (left eye) shows subretinal fluid and FA reveals pinpoint leakage.
Condition/keywords: central serous chorioretinopathy (CSCR), central serous retinopathy (CSR), pinpoint leakage, subretinal fluid
-
Central Serous Chorioretinopathy-OCT
Jun 22 2018 by Mitzy E Torres Soriano, MD
OCT showing typical subfoveal neurosensory detachment and PEDs in CSR.
Condition/keywords: central serous chorioretinopathy (CSCR), central serous retinopathy (CSR), neurosensory detachment of retina, optical coherence tomography (OCT), retinal pigment epithelium (RPE) detachment
-
Vogt-Koyanagi-Harada
Aug 19 2018 by Mitzy E Torres Soriano, MD
Fundus photographs and late-phase FA of a young female patient with bilateral exudative retinal detachments and PEDs.
Photographer: Andrea Vitale, MD. Centro de la Visión Gordon-Manavella. Rosario-Argentina.
Condition/keywords: exudative retinal detachment, pigment epithelial detachment (PED), Vogt-Koyanagi-Harada
-
"Boat-Shaped" Preretinal Hemorrhage
Feb 21 2019 by Mitzy E Torres Soriano, MD
Color fundus photograph showing preretinal (subhyaloid) hemorrhage in a diabetic patient with proliferative diabetic retinopathy.
Photographer: Andrea Vitale, MD
Condition/keywords: preretinal hemorrhage, proliferative diabetic retinopathy (PDR), subhyaloid hemorrhage
