-
By Mitzy E Torres Soriano, MD
Co-author(s): Brenda Acosta,MD - Uploaded on Feb 21, 2019.
- Last modified by Caroline Bozell on Feb 22, 2019.
- Rating
- Appears in
- Miscellaneous
- Condition/keywords
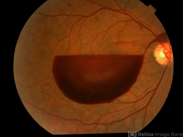
- preretinal hemorrhage, subhyaloid hemorrhage, proliferative diabetic retinopathy (PDR)
- Photographer
- Andrea Vitale, MD
- Imaging device
- Fundus camera
- Description
- Color fundus photograph showing preretinal (subhyaloid) hemorrhage in a diabetic patient with proliferative diabetic retinopathy.

Initializing download.