-
By Mitzy E Torres Soriano, MD
Co-author(s): Bruno Zega. Ophthalmology Department. Hospital Provincial del Centenario. Rosario, Argentina - Uploaded on Jul 31, 2016.
- Last modified by Caroline Bozell on Aug 1, 2016.
- Rating
- Appears in
- Miscellaneous
- Condition/keywords
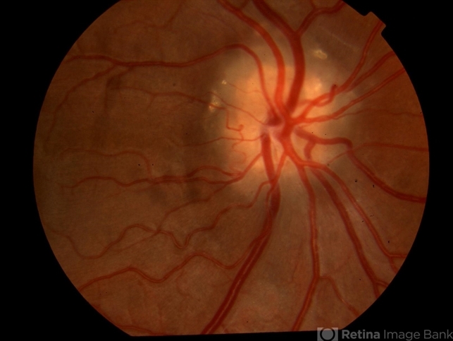
- optic disc drusen, optic nerve drusen
- Photographer
- Mitzy E. Torres Soriano. Retina Department. Hospital Provincial del Centenario. Rosario, Argentina
- Imaging device
-
Fundus camera
TOPCON - Description
- Optic Disc Drusen (Right eye)

Initializing download.