-
By Mitzy E Torres Soriano, MD
- Uploaded on Jun 20, 2018.
- Last modified by Caroline Bozell on Jun 21, 2018.
- Rating
- Appears in
- Miscellaneous
- Condition/keywords
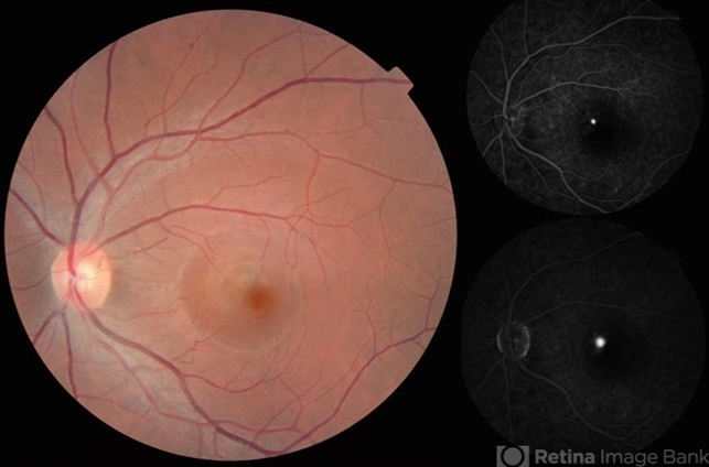
- central serous chorioretinopathy (CSCR), central serous retinopathy (CSR), subretinal fluid, pinpoint leakage
- Imaging device
- Fundus camera
- Description
- Central serous chorioretinopathy. Fundus photograph (left eye) shows subretinal fluid and FA reveals pinpoint leakage.

Initializing download.