-
By Pramod Kumar Suman, MBBS, MD
Dr Nagpal’s Retina foundation
Co-author(s): Manish Nagpal, Retina Foundation, Ahmedabad - Uploaded on Oct 16, 2022.
- Last modified by Joshua Friedman on Oct 18, 2022.
- Rating
- Appears in
- Miscellaneous
- Condition/keywords
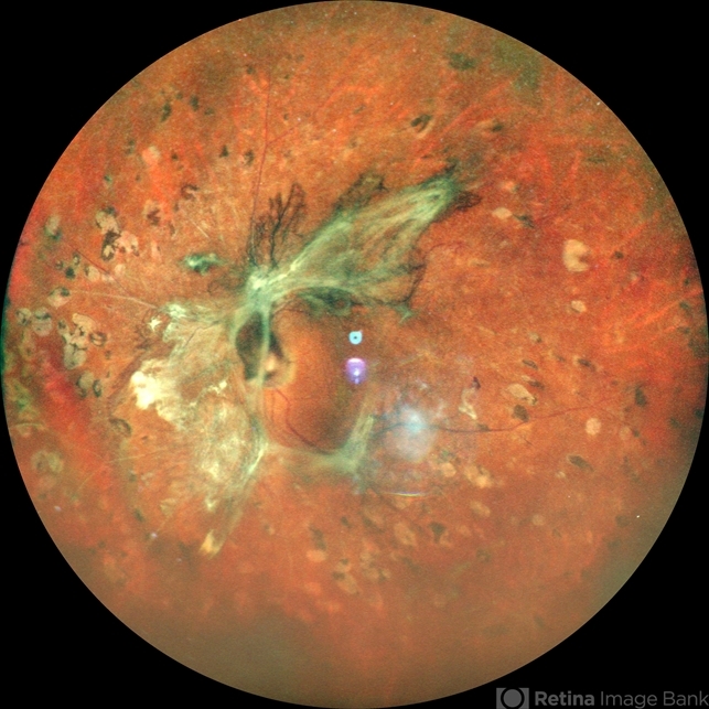
- tractional retinal detachment
- Photographer
- Pramod Kumar Suman, Retina Foundation, Ahmedabad
- Imaging device
-
Scanning laser ophthalmoscope
Mirante - Description
- Fundus photograph of an 53-year-old male with traction over and around the disc with fibrovascular proliferations.

Initializing download.