
File number: 919
Comments
-
Russell Pokroy, MD (December 21 2017)
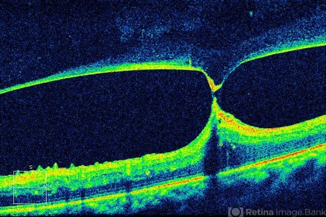
Interesting how the thickened and presumably fibrotic posterior hyaloid face demonstrates high OCT reflectivity. Does anyone have a good explanation for this hyperreflectivity?
Sign in to comment.
-
By Virgilio Morales-Canton, MD
Asociacion para Evitar la Ceguera en Mexico
Co-author(s): Gustavo Sanchez - Uploaded on Sep 27, 2012.
- Last modified by Jennifer Hicks on Oct 29, 2012.
- Rating
- Appears in
- 27-Sep-2012
- Condition/keywords
- tractional retinal detachment
- Imaging device
-
Optical coherence tomography system
Cirrus - Description
- OCT image of a 42-year-old male patient with a localized traction of the superior macula secondary to proliferative diabetic retinopathy.