- 
     Idiopathic Polypoidal Choroidal Vasculopathy Idiopathic Polypoidal Choroidal VasculopathyMay 11 2022 by Pramod Kumar Suman, MBBS, MD Fundus photograph of an 59-year-old male with clinically visible orange-red sub-retinal nodules with sub-retinal hemorrhage. Photographer: Pramod Kumar Suman, Retina Foundation, Ahmedabad Condition/keywords: polypoidal choroidal vasculopathy (PCV) 
- 
     Hypotony Maculopathy Hypotony MaculopathyJun 12 2022 by Pramod Kumar Suman, MBBS, MD Fundus photograph of an 26-year-old male with retinal folds around the center of the fovea arranged in stellate pattern with optic disc edema. Photographer: Pramod Kumar Suman, Retina Foundation, Ahmedabad Condition/keywords: hypotony maculopathy 
- 
     Full Thickness Macular Hole Full Thickness Macular HoleOct 16 2022 by Pramod Kumar Suman, MBBS, MD A 32 years old female presents with complains of diminution of vision in right eye with Full thickness retinal hole involving the fovea. Photographer: Dr Pramod Kumar Suman Imaging device: Mirante Condition/keywords: full thickness macular hole 
- 
     Vitreous Cyst Vitreous CystOct 16 2022 by Pramod Kumar Suman, MBBS, MD Fundus photograph of an 63-year-old male with a floating vitreous cyst. Photographer: Pramod Kumar Suman, Retina Foundation, Ahmedabad Imaging device: Mirante Condition/keywords: vitreous cyst 
- 
     Silicone Oil Filled Vitrectomised Eye Silicone Oil Filled Vitrectomised EyeOct 16 2022 by Pramod Kumar Suman, MBBS, MD Fundus photograph of an 30-year-old woman with silicone oil filled eye, present to us with Funnel retinal detachment following a trauma. Photographer: Pramod Kumar Suman, Retina Foundation, Ahmedabad Imaging device: Mirante Condition/keywords: silicone oil 
- 
     Tractional Retinal Detachment Tractional Retinal DetachmentOct 16 2022 by Pramod Kumar Suman, MBBS, MD Fundus photograph of an 53-year-old male with traction over and around the disc with fibrovascular proliferations. Photographer: Pramod Kumar Suman, Retina Foundation, Ahmedabad Imaging device: Mirante Condition/keywords: tractional retinal detachment 
- 
     Eales' disease Eales' diseaseDec 12 2022 by Pramod Kumar Suman, MBBS, MD Fundus photograph of an 32-year-old male with inferior vitreous hemorrhage. Photographer: Pramod Kumar Suman, Retina Foundation, Ahmedabad Imaging device: Mirante Condition/keywords: Eales disease 
- 
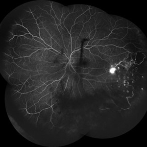
     Eales' disease Eales' diseaseDec 12 2022 by Pramod Kumar Suman, MBBS, MD Montage photograph wide field angiogram of an 32-year-old male with blocked fluorescence with leakage with peripheral capillary non perfusion areas. Photographer: Pramod Kumar Suman, Retina Foundation, Ahmedabad Imaging device: Mirante Condition/keywords: Eales disease 
- 
     Angioid Streaks Angioid StreaksDec 14 2022 by Pramod Kumar Suman, MBBS, MD Fundus autofluorescence photograph of a 65-year-old male with numerous narrow, irregular streaks radiating in a circumferential pattern within the posterior pole with macular atrophy. Photographer: Pramod Kumar Suman, Retina Foundation, Ahmedabad Imaging device: Mirante Condition/keywords: angioid streaks 
