-
By Niloofar Piri, MD
SSM Health Group, St Louis University
Co-author(s): Jillian Baker DO, Saint Louis University; Adam Lewis DO, Saint Louis University - Uploaded on Sep 13, 2022.
- Last modified by Joshua Friedman on Sep 19, 2022.
- Rating
- Appears in
- Miscellaneous
- Condition/keywords
- tractional retinal detachment, TRD, proliferative diabetic retinopathy (PDR)
- Photographer
- Jillian Baker, DO, Saint Louis University
- Imaging device
- Fundus camera
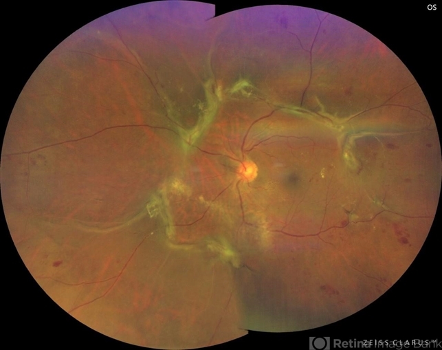
- Description
- Fundus photograph of the left eye demonstrating mid-peripheral traction retinal detachment not involving the fovea in a case of advanced proliferative diabetic retinopathy.

Initializing download.