
File number: 1458
Comments
-
Susanna S. Park, MD, PhD (October 15 2012)
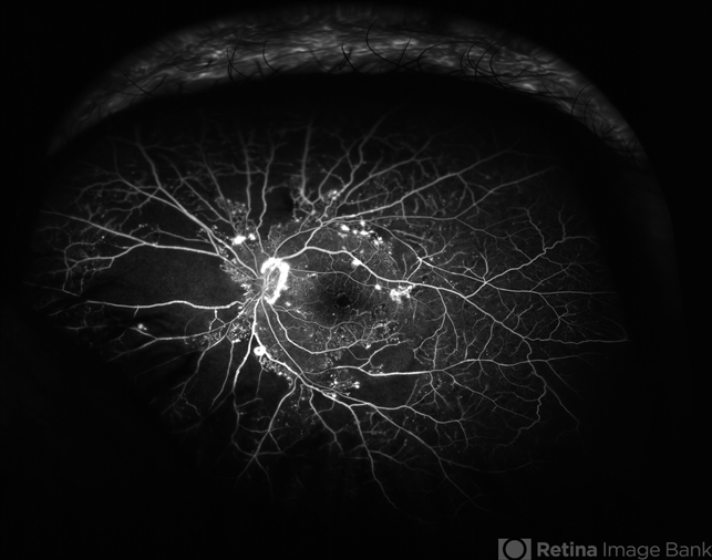
Optos angiography is useful for imaging peripheral ischemia.
Sign in to comment.
-
By Susanna S. Park, MD, PhD
University of California Davis Eye Center - Uploaded on Oct 15, 2012.
- Last modified by Susanna S. Park, MD, PhD on Oct 15, 2012.
- Rating
- Appears in
- PDR
- Condition/keywords
- proliferative diabetic retinopathy (PDR)
- Photographer
- Ellen Redenbo, University of California Davis Eye Center
- Imaging device
-
Scanning laser ophthalmoscope
Optos - Description
- Fluorescein angiogram of the left eye of a 65 year old woman with diabetes mellitus showing nasal peripheral retinal capillary dropout and neovascularization of the disc. Scattered retinal microaneurysms are also noted