-
By Dhaivat Shah
Sankara Nethralaya
Co-author(s): Dr Anju Gupta (MBBS) - Uploaded on Jun 2, 2021.
- Last modified by Caroline Bozell on Jun 3, 2021.
- Rating
- Appears in
- Imaging marvels
- Condition/keywords
- Welding arc maculopathy
- Photographer
- Choithram Netralaya
- Imaging device
-
Optical coherence tomography system
Zeiss - Description
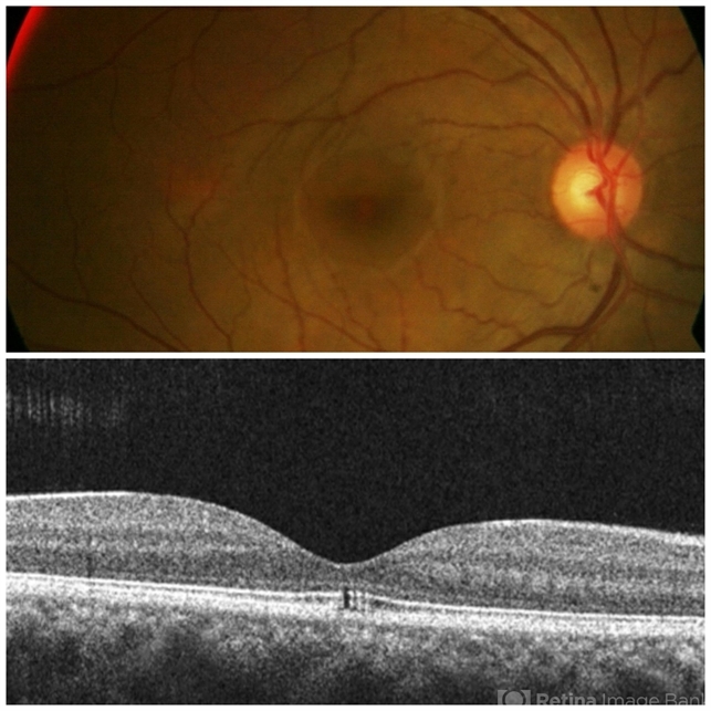
- Unlike arc-welding induced photokeratoconjuctivitis i.e. ‘arc’s eye’ known to most of the clinicians, macular injury is unusual to happen. It is a rare type of photic or UV retinopathy caused by exposure to electric arc welding light which emits wide spectrum of radiations ranging from UV to infrareds through penetrating into the retina. A 35-year-old male, a professional welder, presented with mild blurring of vision in both eyes. Fundus revealed dull foveal reflex (OU) with subtle foveal alterations surrounded by halo (right more prominent than left eye). He later revealed a history of infrequent use of protective glasses during work. OCT is a very sensitive test to establish diagnosis, which ellipsoid zone disturbance as a square shaped defect, keeping the RPE & ELM intact. Patient was explained guarded visual prognosis and was advised strictly to wear protective eye gears at work.

Initializing download.