-
By John S. King, MD
Retina Associates, PA - Uploaded on Oct 27, 2019.
- Last modified by Caroline Bozell on Oct 29, 2019.
- Rating
- Appears in
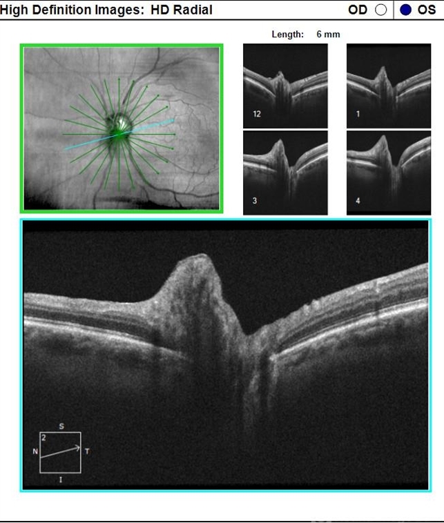
- Solitary NonSyndromatic Astrocytic Hemartoma of the Retina
- Condition/keywords
- astrocytic hamartoma
- Photographer
- Maisee Yang
- Imaging device
- Optical coherence tomography system
- Description
- 66-year-old white male without history of tuberous sclerosis was found to have an incidental, asymptomatic, translucent, retinal lesion with a few small telangiectatic vessels within it. The FA showed early hyperFL of these small vessels with prominent late leakage/staining. The OCT showed a retinal mass with a "moth eaten" appearance. Vision was 20/20 and the rest of the exam was unremarkable.

Initializing download.