-
By Rita Couceiro, MD, MS
Co-author(s): Carlos Marques Neves, MD PhD - Lisboa, Portugal - Uploaded on Apr 16, 2015.
- Last modified by Rita Couceiro, MD, MS on May 14, 2015.
- Rating
- Appears in
- Miscellaneous
- Condition/keywords
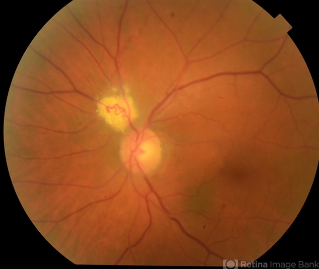
- astrocytic hamartoma
- Imaging device
- Fundus camera
- Description
- Fundus photograph of a 72-year-old man with a retinal astrocytoma of the left eye.

Initializing download.