-
By Lancaster Course in Ophthalmology
1980 - Uploaded on Feb 26, 2019.
- Last modified by Caroline Bozell on Mar 7, 2019.
- Rating
- Appears in
- Unit 09 Pathology of the Retina
- Condition/keywords
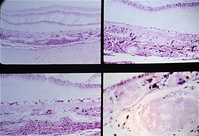
- disseminated intravascular coagulopathy, choriocapillaris, choroidal vessels, retinal pigment epithelium atrophy, serous retinal detachment, retinal edema
- Description
- Disseminated intravascular coagulopathy. There is occlusion of the choriocapillaris and some larger choroidal vessels, partial retinal pigment epithelial atrophy, serous retinal detachment, and cystic retinal edema, all in the macular area.

Initializing download.