-
By Mallika Goyal, MD
Apollo Health City - Uploaded on Oct 26, 2012.
- Last modified by Chayal Patel on Dec 4, 2012.
- Reviewed by Chayal Patel
- Rating
- Appears in
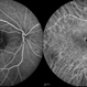
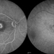
- Atypical central serous chorioretinopathy
- Condition/keywords
- chronic central serous chorioretinopathy (CSCR), retinal pigment epithelium atrophy
- Imaging device
- Fundus camera
- Description
- Left eye extensive RPE atrophy at macula from chronic central serous chrioretinopathy in a 62-year-old gentleman. The right eye had a similar picture.

Initializing download.