-
By Lancaster Course in Ophthalmology
1980 - Uploaded on Feb 25, 2019.
- Last modified by Caroline Bozell on Mar 7, 2019.
- Rating
- Appears in
- Unit 09 Pathology of the Retina
- Condition/keywords
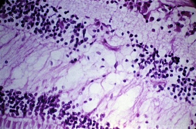
- retinal exudates, histiocytes, diabetic retinopathy
- Description
- Deep retinal exudate. There is accumulation of lipid-laden histiocytes in the outer plexiform and inner nuclear layers of the retina in the posterior pole area in diabetic retinopathy.

Initializing download.